Opțiuni pentru pacientul cu edentație majoră sau cu dinți rămași nefuncționali
În cazul unei lipsuri dentare extinse sau atunci când dinții restanți nu mai pot susține funcțional o proteză, una dintre soluțiile cele mai accesibile este proteza mobilă. Însă, cum rămâne cu calitatea vieții și eficiența masticatorie? Cu siguranță, această opțiune nu este cea mai potrivită pentru pacienții care își doresc o dantură fixă, funcțională și estetică, care să ofere confort și aspect natural la un nivel ridicat.
Pentru acești pacienți au fost dezvoltate conceptele All-on-4 și All-on-6, metode moderne de reabilitare orală fixă. De la început trebuie menționat că aceste două concepte diferă ca principiu și indicatii.
Conceptul All-on-6
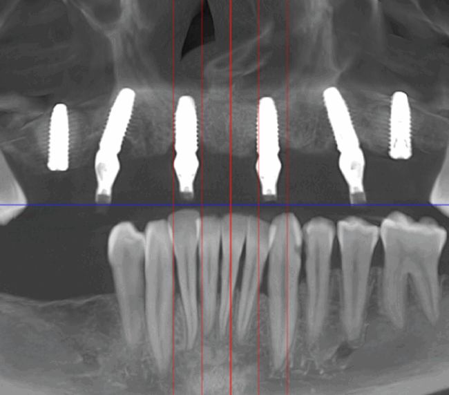
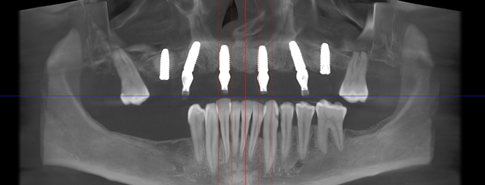
Metoda All-on-6 presupune inserarea chirurgicală a șase implanturi plasate strategic, pentru a asigura o proteză fixă stabilă și durabilă. Spre deosebire de conceptul All-on-4, recomandat în special pacienților cu deficit osos în zonele laterale ale maxilarului, All-on-6 are indicații mai largi și poate fi utilizat la majoritatea categoriilor de pacienți.
Numărul relativ mic de implanturi reduce durata intervenției chirurgicale și timpul de vindecare, ceea ce face această tehnică foarte apreciată. Totuși, această procedură necesită precizie și experiență, deoarece o ocluzie incorectă poate genera disconfort și probleme în vorbire.
All-on-6 este o procedură de specialitate, motiv pentru care este esențial să alegeți o echipă medicală cu expertiză în domeniu.
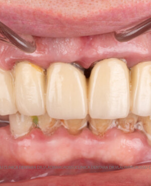
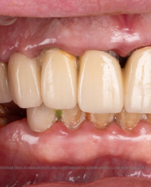
Această metodă este indicată pacienților cu edentație totală sau cu lipsuri dentare multiple, când dinții rămași nu mai pot susține o proteză fixă eficientă. Procedura se desfășoară în două etape:
- Prima etapă constă în inserarea implanturilor și fixarea unei proteze provizorii, realizate de obicei din masă plastică frezată, ce este montată în a doua sau a treia zi postoperator. Suturile sunt îndepărtate după 5-7 zile.
- A doua etapă are loc la aproximativ 6 luni după intervenție, când se realizează proteza definitivă, care este fixată pe implanturi prin intermediul unor piese numite multiunit-uri. Această etapă presupune lucrul la nivelul multiunit-urilor, nu direct pe implanturi, reducând astfel riscul de complicații.
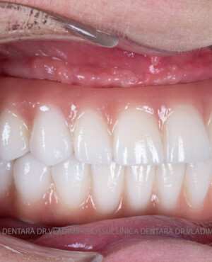
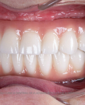
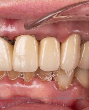
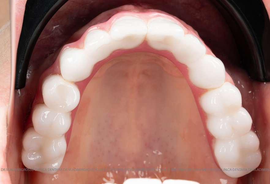
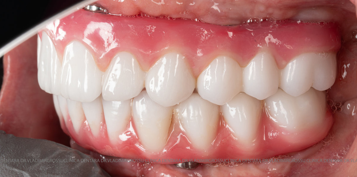
Caz 1
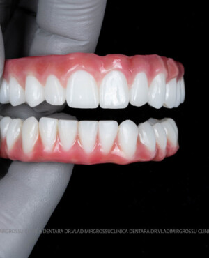
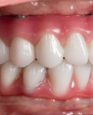
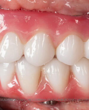
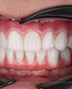
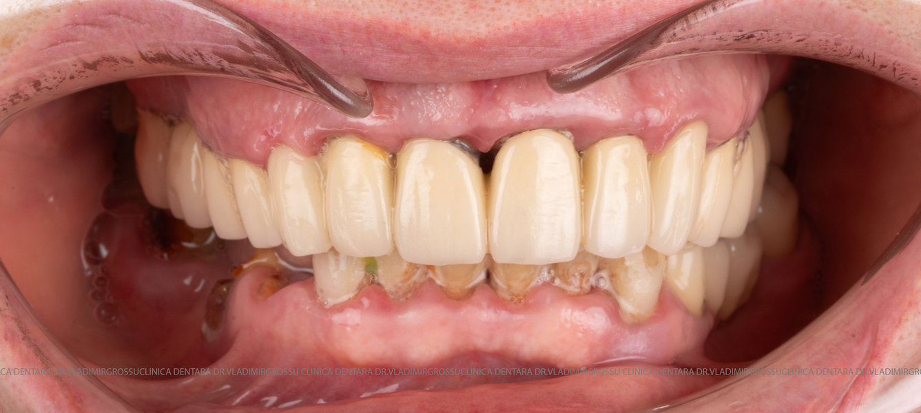
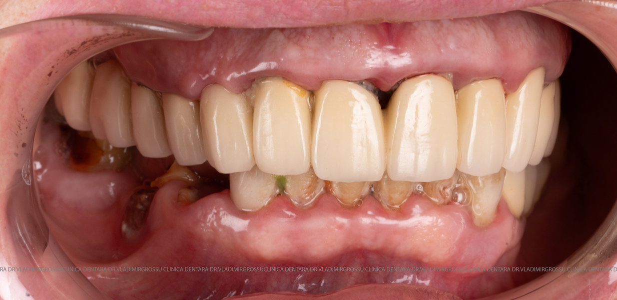
Caz 2
Avantajele principale ale metodei All-on-6
- Repartizarea uniformă a forțelor masticatorii asupra protezei;
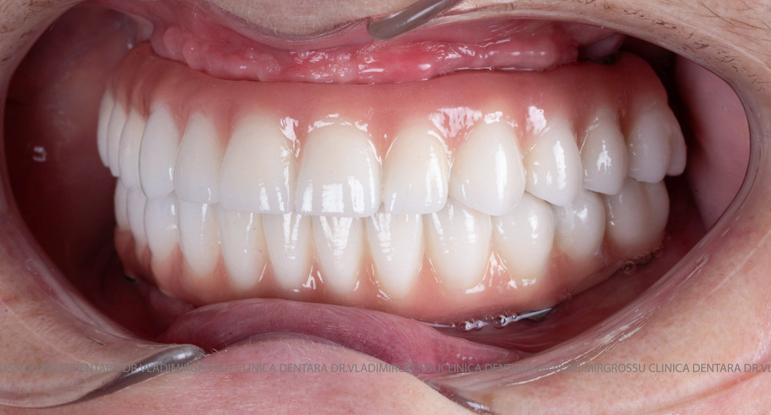
- Posibilitatea realizării unei proteze cu 12-14 dinți, oferind un aspect estetic natural și funcționalitate optimă.
Componentele unui tratament complet All-on-6
Pentru etapa provizorie:
- Șase implanturi;
- Șase multiunit-uri, drepte sau angulate, în funcție de necesitățile protetice;
- Șase capete de confort;
- Șase abutment-uri provizorii montate pe multiunit-uri;
- Proteză provizorie din masă plastică frezată.
Pentru protezarea definitivă:
- Șase abutment-uri permanente pe multiunit-uri;
- Proteză definitivă realizată din metaloceramică sau zirconiu, cu 12-14 unități (soluția recomandată).
Elemente cheie pentru succesul tratamentului
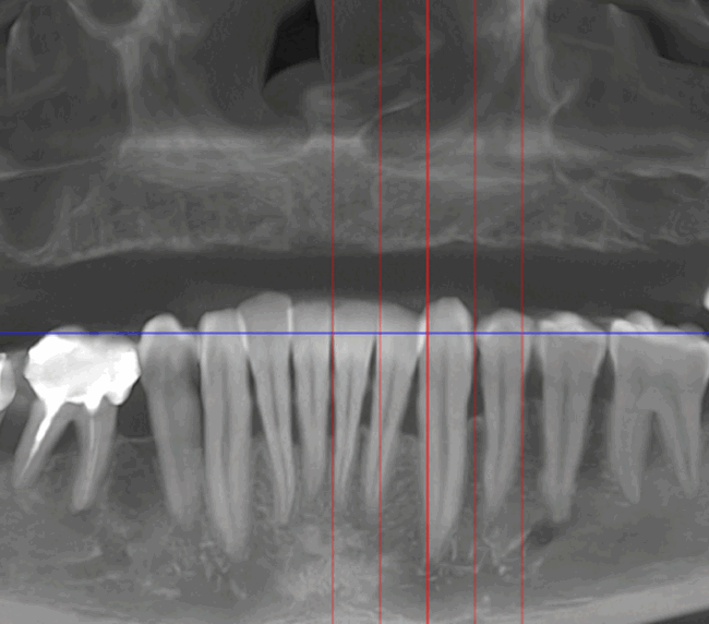
- Investigație imagistică completă, ideal CBCT (computer tomografie);
- Consult clinic detaliat și obiectiv;
- Planificare computerizată a intervenției, inclusiv realizarea și utilizarea ghidului chirurgical, dacă este necesar;
- Premedicație adecvată înaintea operației;
- Utilizarea tuturor componentelor originale și de calitate pentru a minimiza riscul de micromișcări între piese în timpul funcționării;
- Monitorizare și control postoperator strict.
Pentru pacienții cu edentație extinsă sau dinți nefuncționali, metoda All-on-6 oferă o alternativă modernă și eficientă la proteza mobilă, asigurând o restaurare fixă, stabilă și estetică a danturii. Datorită distribuirii optime a implanturilor și a tehnologiei avansate implicate, această soluție îmbunătățește considerabil calitatea vieții, confortul și funcționalitatea orală. Succesul tratamentului depinde de o planificare riguroasă, de utilizarea componentelor de calitate și de competența echipei medicale, ceea ce face ca alegerea unei clinici specializate să fie esențială pentru obținerea unor rezultate durabile și sigure.























































