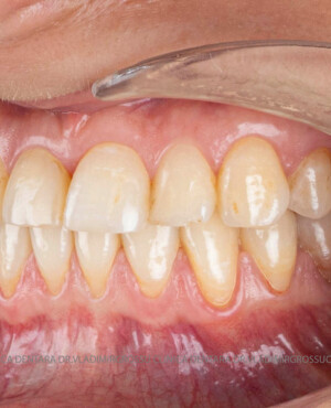
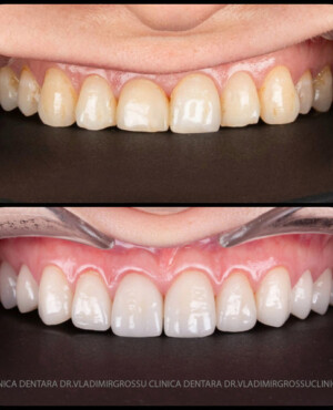
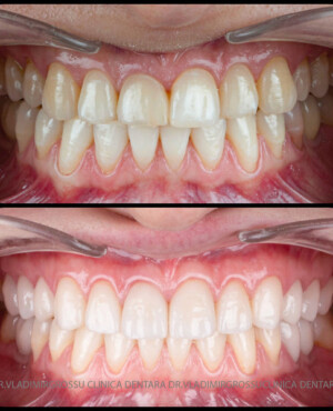
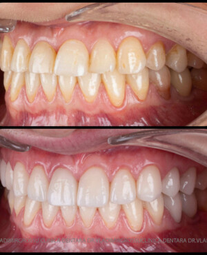
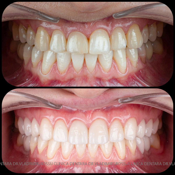
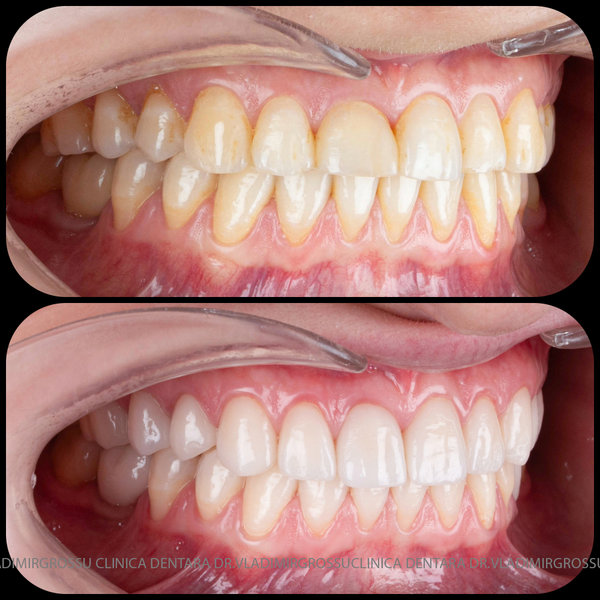
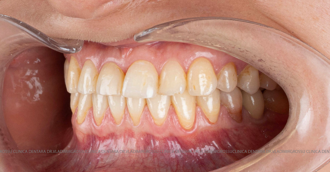
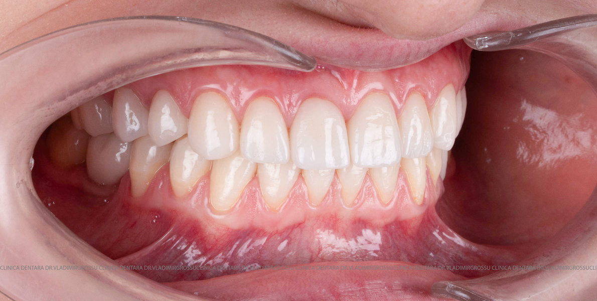
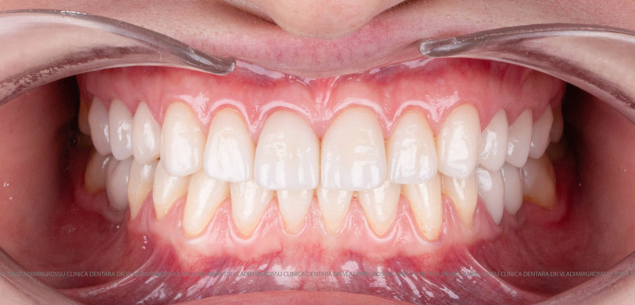
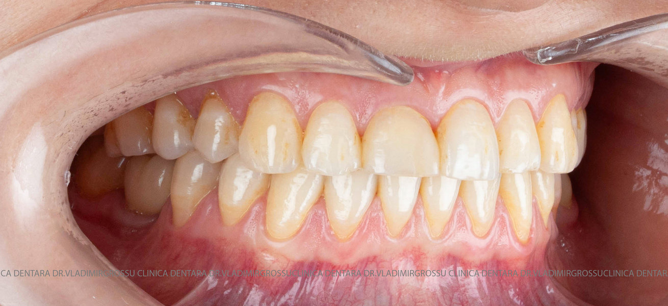
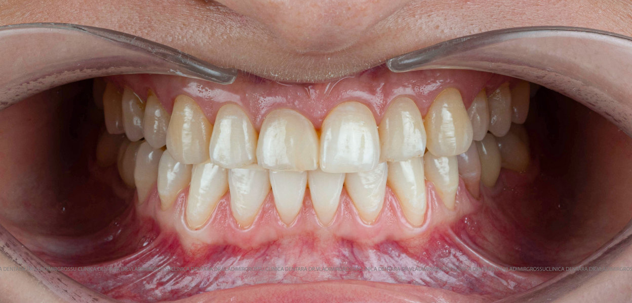
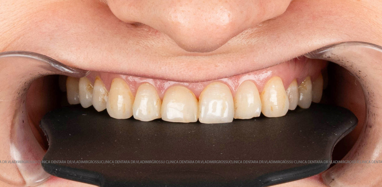
Protezarea dentară cu coroane este o procedură consacrată, care permite refacerea atât a funcționalității, cât și a aspectului estetic al dinților. Deși perfecțiunea absolută este rezervată doar dinților naturali și sănătoși, astăzi avem la dispoziție soluții fiabile, sigure și biocompatibile, care imită perfect dinții naturali și sunt complet compatibile cu organismul uman.
Având în vedere tehnologiile moderne din stomatologie, fiecare pacient își dorește o soluție optimă pentru tratamentul sau restaurarea dinților, apelând la clinici specializate cu speranța că atât dinții tratați, cât și cei artificiali, vor rezista mulți ani. O astfel de soluție eficientă și apreciată pe scară largă în majoritatea țărilor europene este protezarea cu ceramica E-MAX.
Popularitatea sistemului IPS E-MAX se justifică prin mai multe avantaje importante:
- În primul rând, fiind vorba despre ceramică integrală, coroanele E-MAX sunt ușoare și subțiri, în comparație cu coroanele metaloceramice. Acest lucru permite o adaptare mult mai precisă și etanșă a coroanei pe dinte, iar prepararea dintelui necesară este minim invazivă.
- În al doilea rând, sistemul E-MAX este fabricat integral din ceramică presată, cu un conținut ridicat de cristale de leucit, ceea ce îi conferă o rezistență și durabilitate remarcabile.
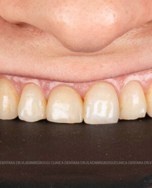
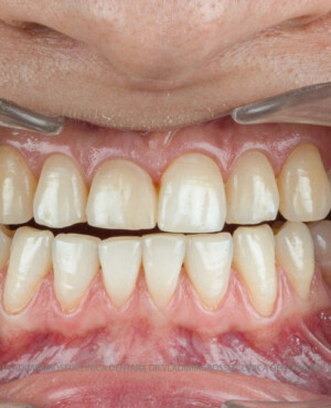
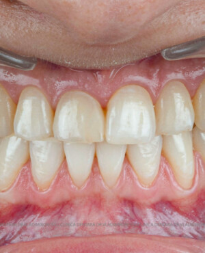
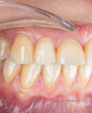
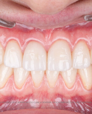
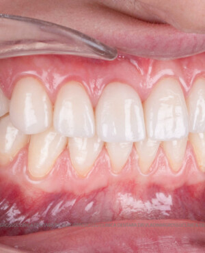
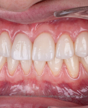
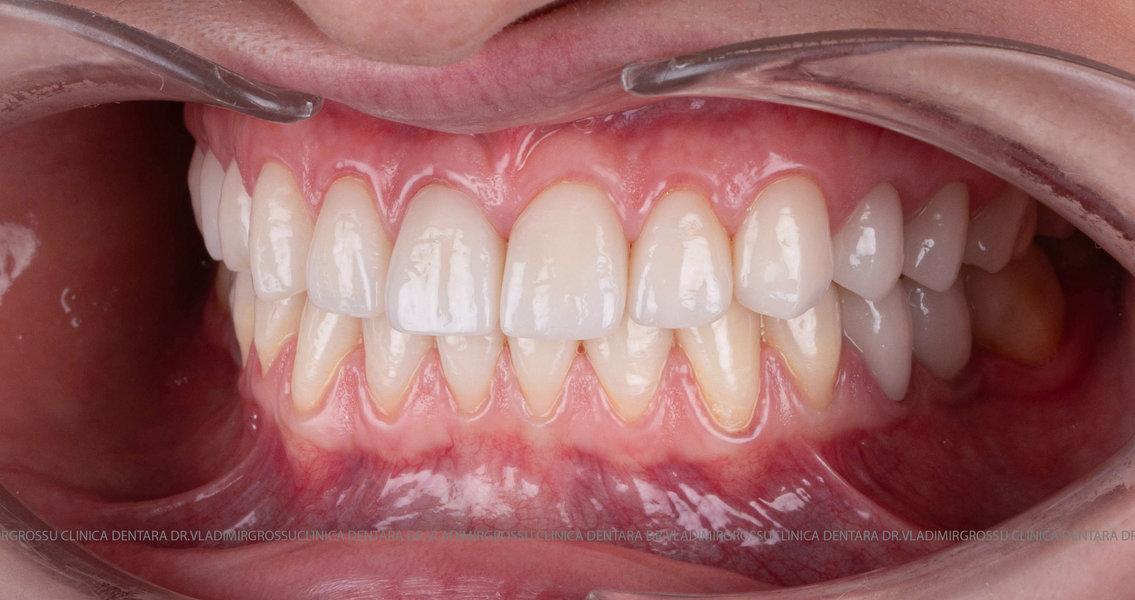
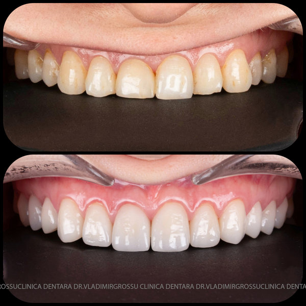
- În al treilea rând, din punct de vedere estetic, ceramica E-MAX excelează prin gradul optim de transmitere a luminii și prin gama largă de nuanțe disponibile. Rezultatul este atât de natural încât aceste coroane sunt imposibil de diferențiat de dinții naturali.
Pe lângă aceste avantaje, coroanele E-MAX se remarcă prin întreținere ușoară, deoarece suprafețele lor nu favorizează acumularea plăcii bacteriene. De asemenea, ele nu provoacă reacții alergice și sunt complet biocompatibile, motiv pentru care sunt recomandate cu încredere de stomatologii din întreaga lume.
Pentru pacienții interesați nu doar de protezare, ci și de restaurarea estetică a dinților, fațetele ceramice E-MAX reprezintă o alegere excelentă. Acestea oferă un aspect natural superior față de restaurările din materiale fotopolimerice, în ceea ce privește atât durabilitatea, cât și estetica.
Un alt beneficiu important al sistemului IPS E-MAX este capacitatea sa de a fi utilizat în protezarea dinților posteriori, datorită rezistenței mari la forțele masticatorii, reducând riscul deteriorării premature a lucrărilor protetice. Mai mult, acest sistem permite restaurarea dinților parțial afectați prin realizarea unor coroane parțiale sau fațete ceramice, care păstrează cât mai mult țesut dentar sănătos.
Desigur, utilizarea sistemului E-MAX necesită un nivel ridicat de profesionalism din partea medicului stomatolog și a tehnicianului dentar, în special în folosirea tehnologiilor CAD/CAM moderne.
În concluzie, alegând coroanele ceramice fără metal IPS E-MAX, veți beneficia de dinți care nu sunt inferiori dinților naturali nici din punct de vedere estetic, nici funcțional!












































































