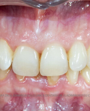
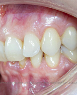
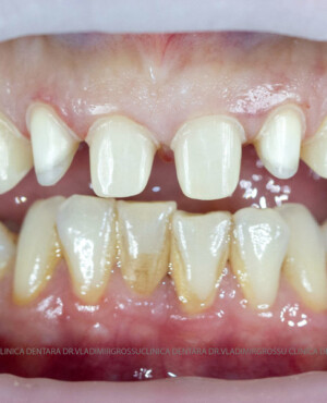
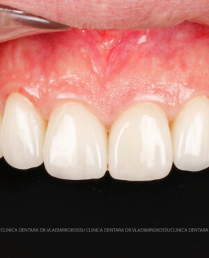
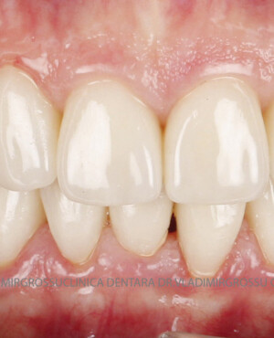
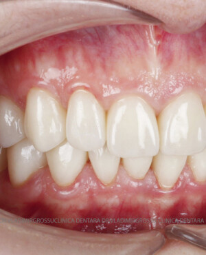
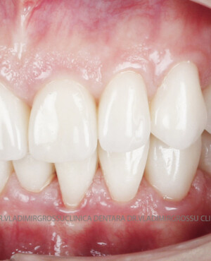
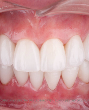
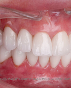
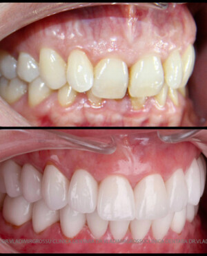
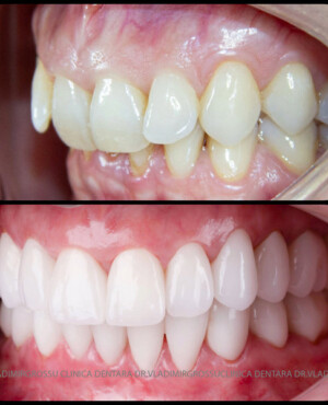
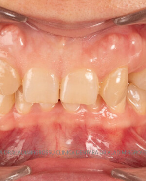
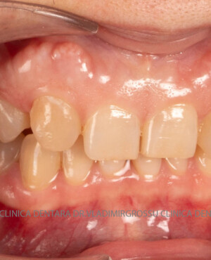
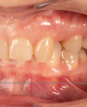
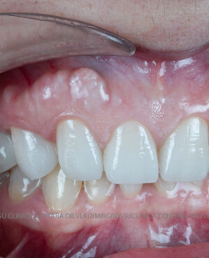
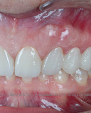
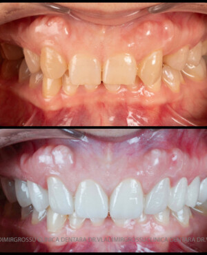
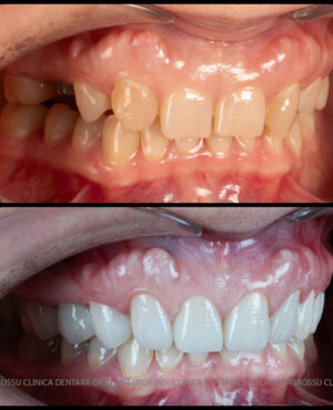
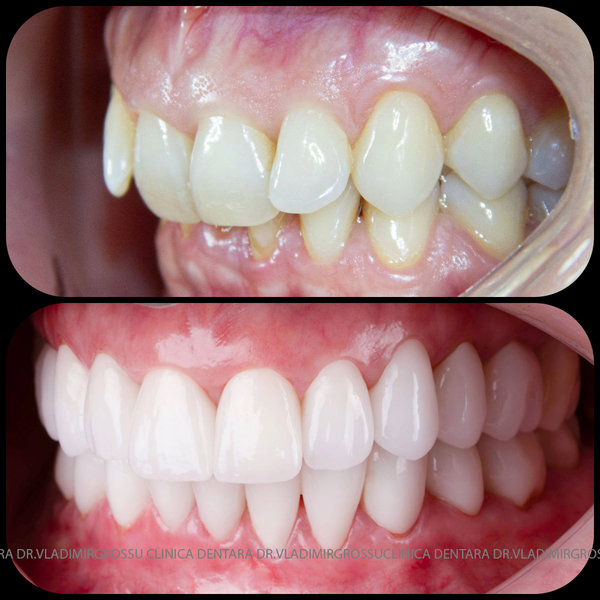
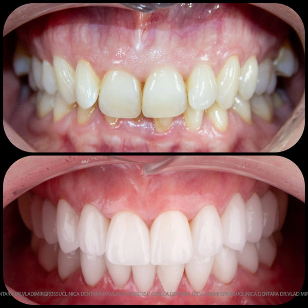
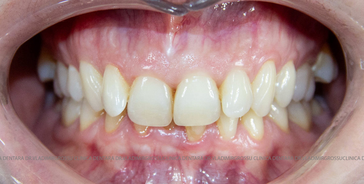
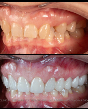
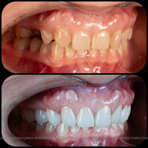
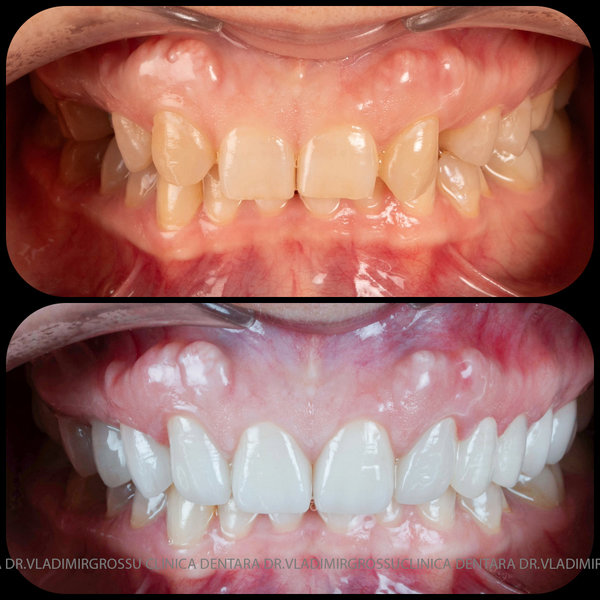
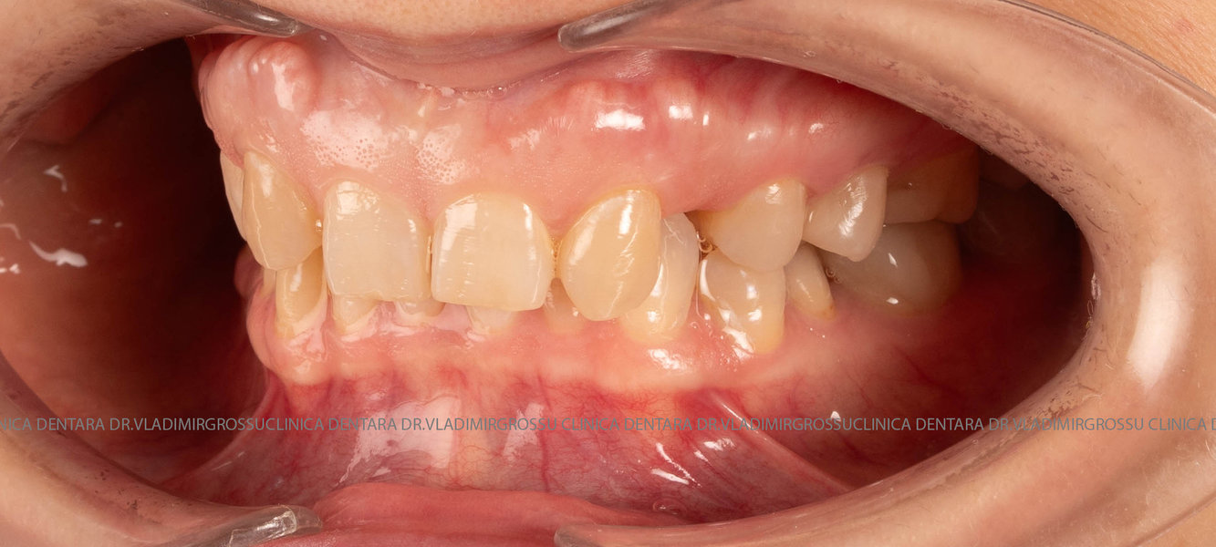
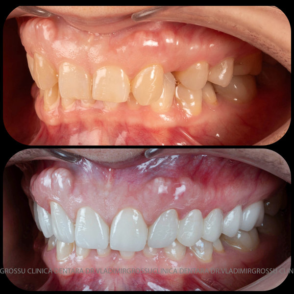
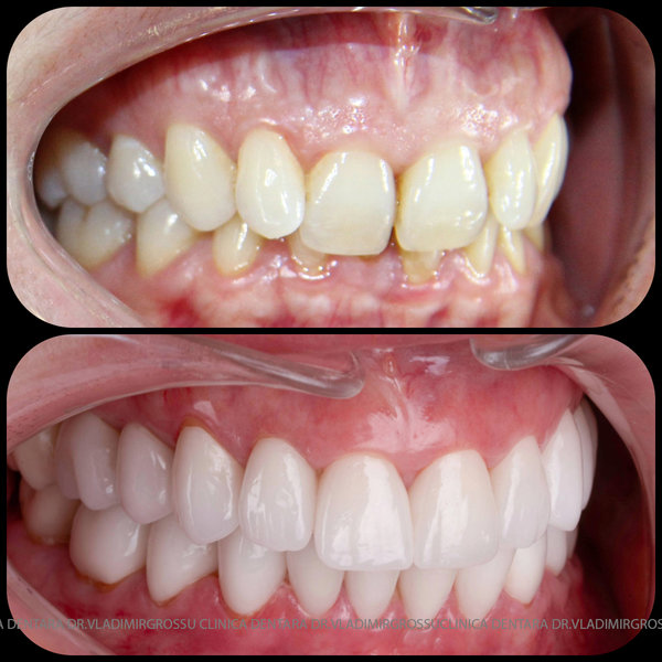
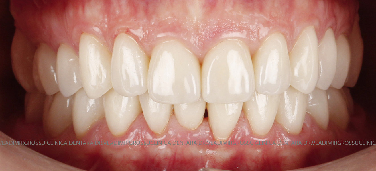
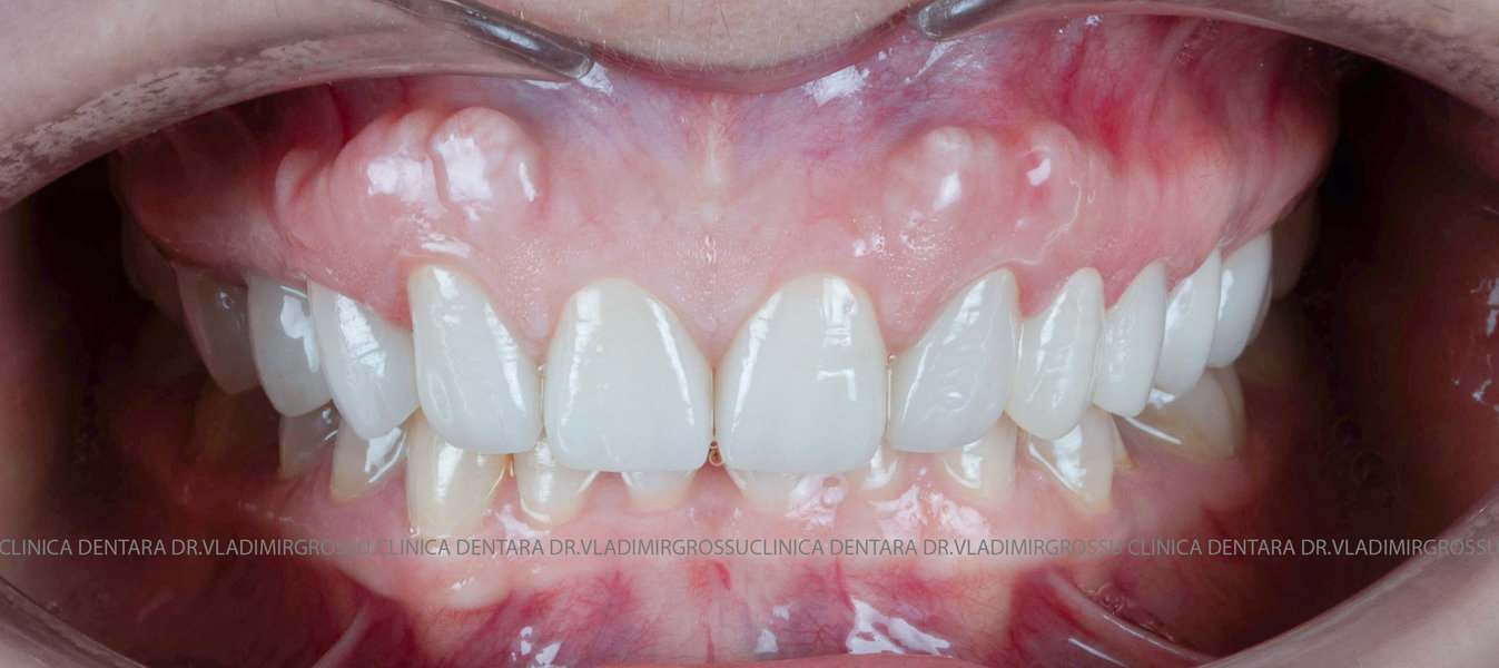
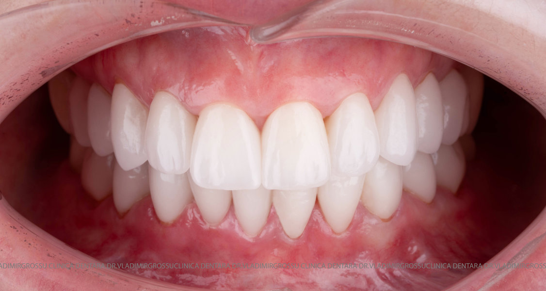
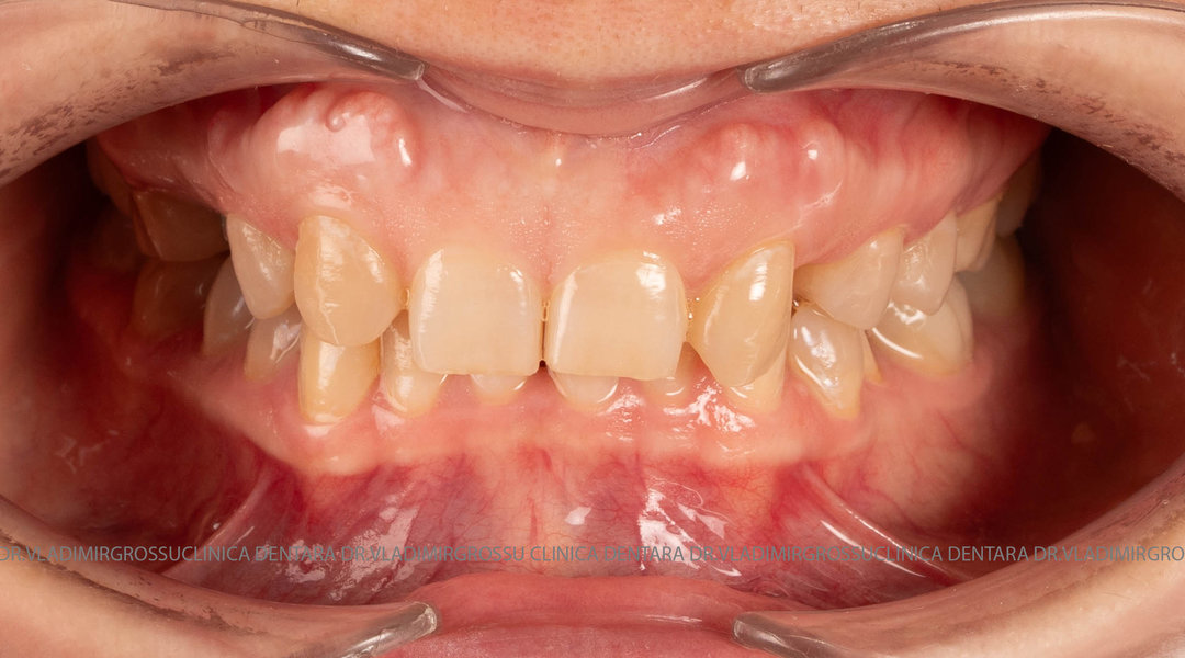
În stomatologia modernă, estetica și funcționalitatea merg mână în mână. Ceramica presată este unul dintre cele mai apreciate materiale folosite pentru restaurările dentare datorită rezistenței ridicate, aspectului natural și preciziei adaptării. La Clinica Dentară Dr. Grossu din Chișinău, utilizăm ceramica presată în lucrările protetice pentru a reda pacienților zâmbete frumoase, durabile și perfect integrate în fizionomie.
soluția premium pentru restaurări dentare estetice și durabile
Ce este ceramica presată?
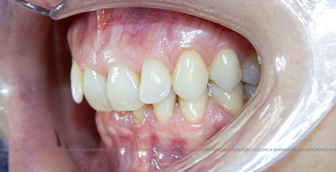
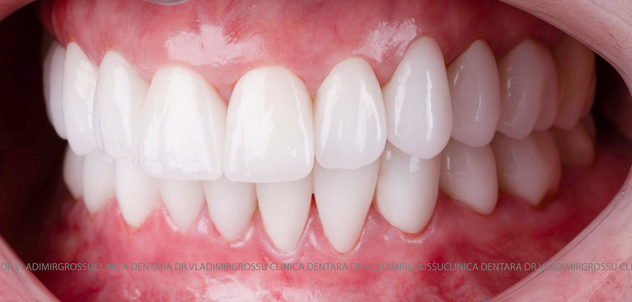
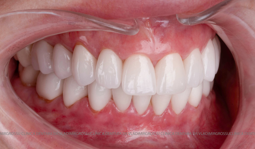
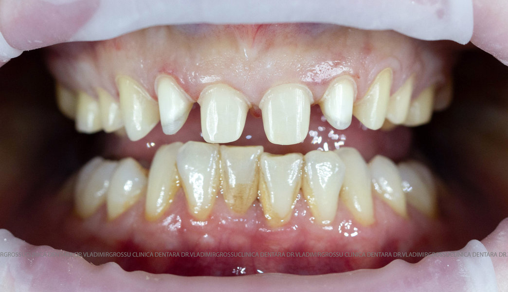
Ceramica presată este un material stomatologic de înaltă calitate, obținut prin presarea ceramicii topite într-o formă, sub presiune și temperatură controlată. Acest proces oferă lucrărilor un grad superior de rezistență mecanică și un aspect translucid, aproape identic cu smalțul natural al dintelui.
Avantajele ceramicii presate în stomatologie
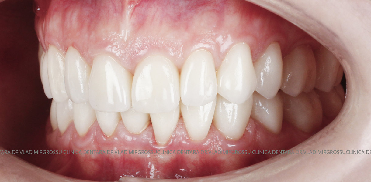
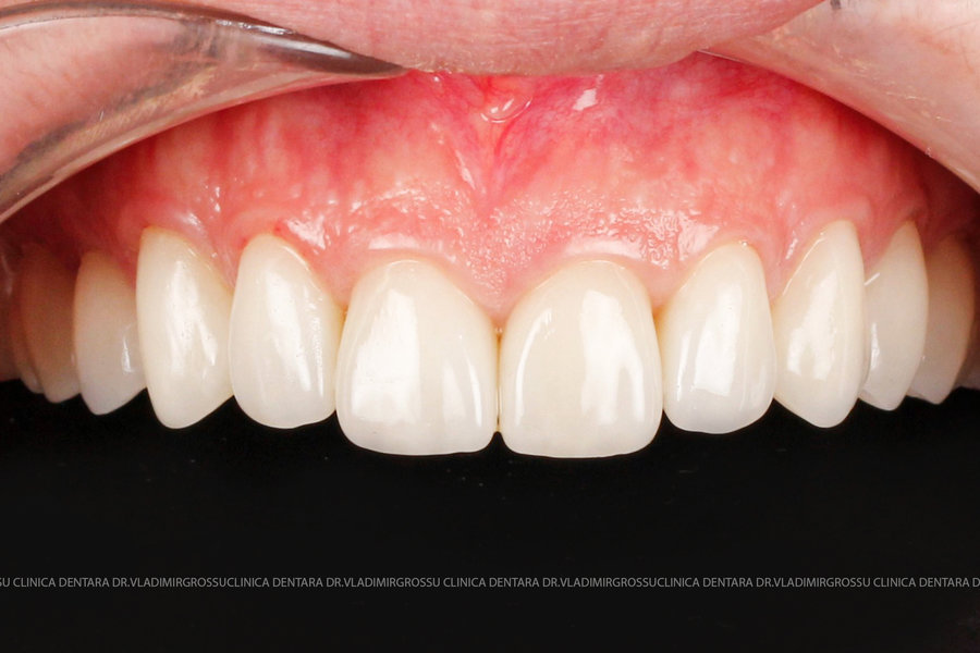
- Estetică excelentă – imită perfect culoarea, translucența și textura dinților naturali
- Precizie ridicată – adaptare perfectă la structura dentară, margini sigilate
- Biocompatibilitate – nu provoacă reacții alergice sau iritații gingivale
- Rezistență crescută – ideală pentru zonele frontale și laterale cu forțe de masticație medii
- Durabilitate în timp – restaurări stabile, fără schimbări de culoare
- Fără metal – lucrare 100% ceramică, fără risc de coroziune sau efect gri la gingii
Indicații pentru utilizarea ceramicii presate
- Fațete dentare (veneers)
- Coroane dentare integral ceramice (în special pentru dinții frontali)
- Inlay-uri și onlay-uri
- Reconstrucții estetice după tratamente endodontice
- Reabilitări estetice ale zâmbetului
Etapele unei lucrări din ceramică presată
- Consultație și evaluare estetică
- Fotografii dentare, scanare digitală și analiză facială
- Șlefuirea minim invazivă a dintelui (dacă este necesară)
- Amprentă digitală (cu scanner intraoral) sau clasică
- Designul lucrării în laborator și presarea ceramicii
- Proba și cimentarea finală
- Controlul funcțional și estetic final
De ce să alegi Clinica Dentară Dr. Grossu pentru lucrări din ceramică presată?
- Experiență în estetică dentară avansată
- Echipă specializată în restaurări integrale fără metal
- Tehnologie digitală pentru amprentare și design (CAD/CAM, scanare 3D)
- Colaborare cu laboratoare de top în estetică dentară
- Rezultate personalizate, adaptate fiecărei fizionomii
- Confort maxim și durabilitate pe termen lung





































































