Profilaxia dentară și detartrajul profesional
Un zâmbet frumos începe cu o igienă orală corectă și cu vizite regulate la dentist pentru proceduri profilactice. La Clinica Dentară Dr. Grossu din Chișinău, punem accent pe prevenție, nu doar pe tratament. De aceea, recomandăm tuturor pacienților noștri efectuarea periodică a detartrajului profesional, parte esențială a profilaxiei dentare moderne.
Ce înseamnă profilaxia dentară?
Profilaxia dentară cuprinde toate procedurile și obiceiurile menite să prevină apariția cariilor, bolilor gingivale și pierderii dinților. Aceasta se realizează atât prin igienă orală corectă acasă, cât și prin intervenții periodice în cabinetul stomatologic, precum detartrajul, periajul profesional și fluorizarea.
Detartrajul profesional – ce este și de ce este important?
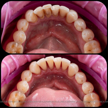
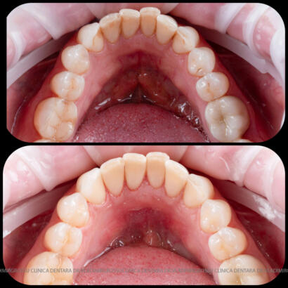
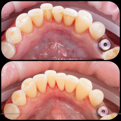
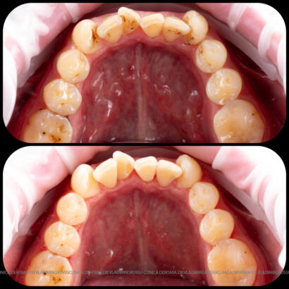
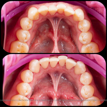
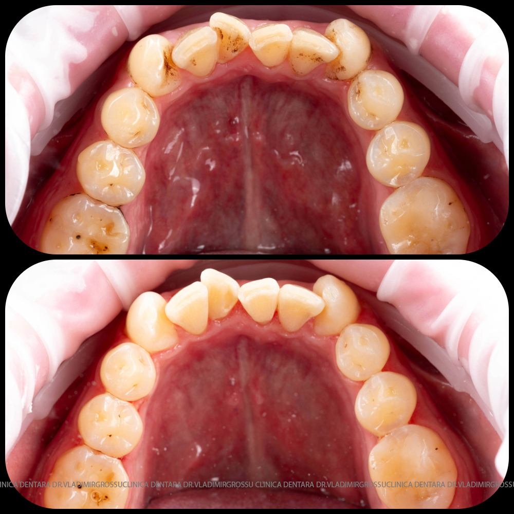
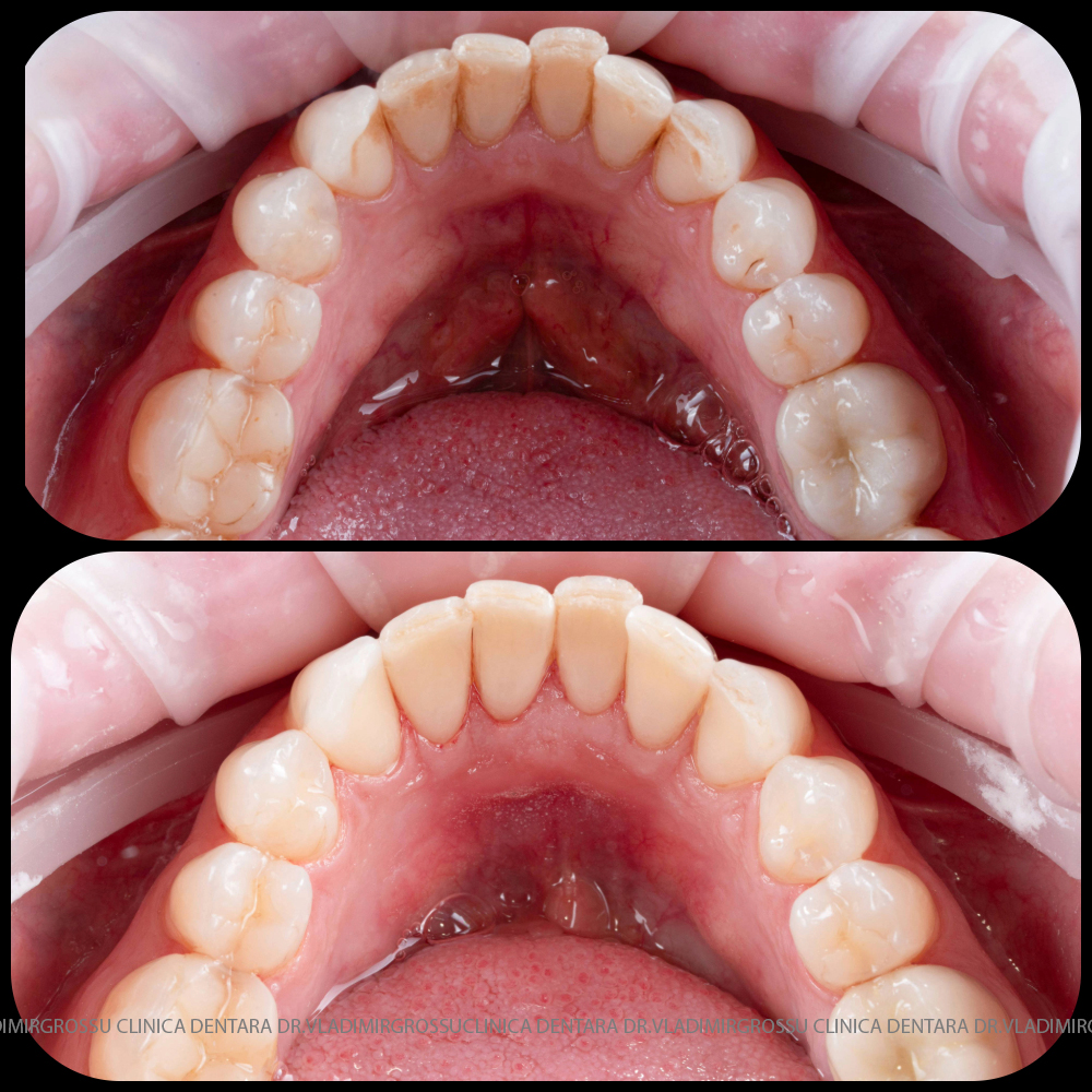
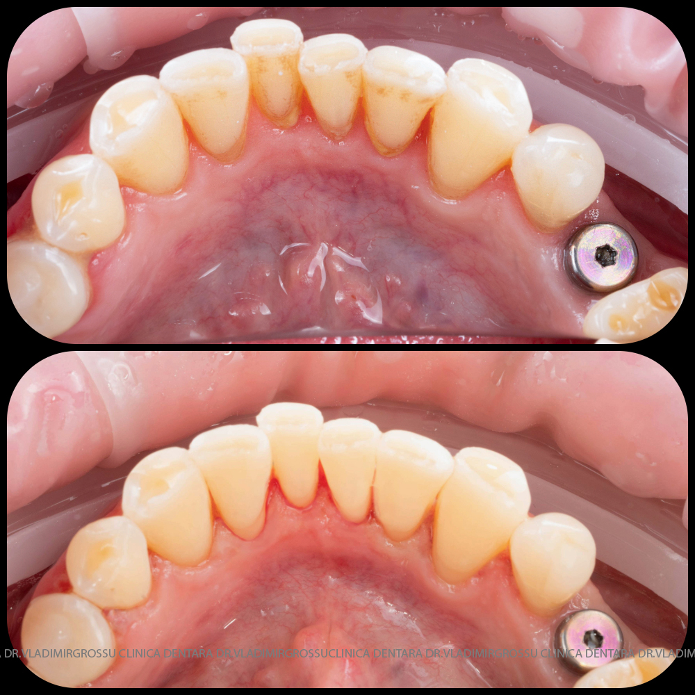
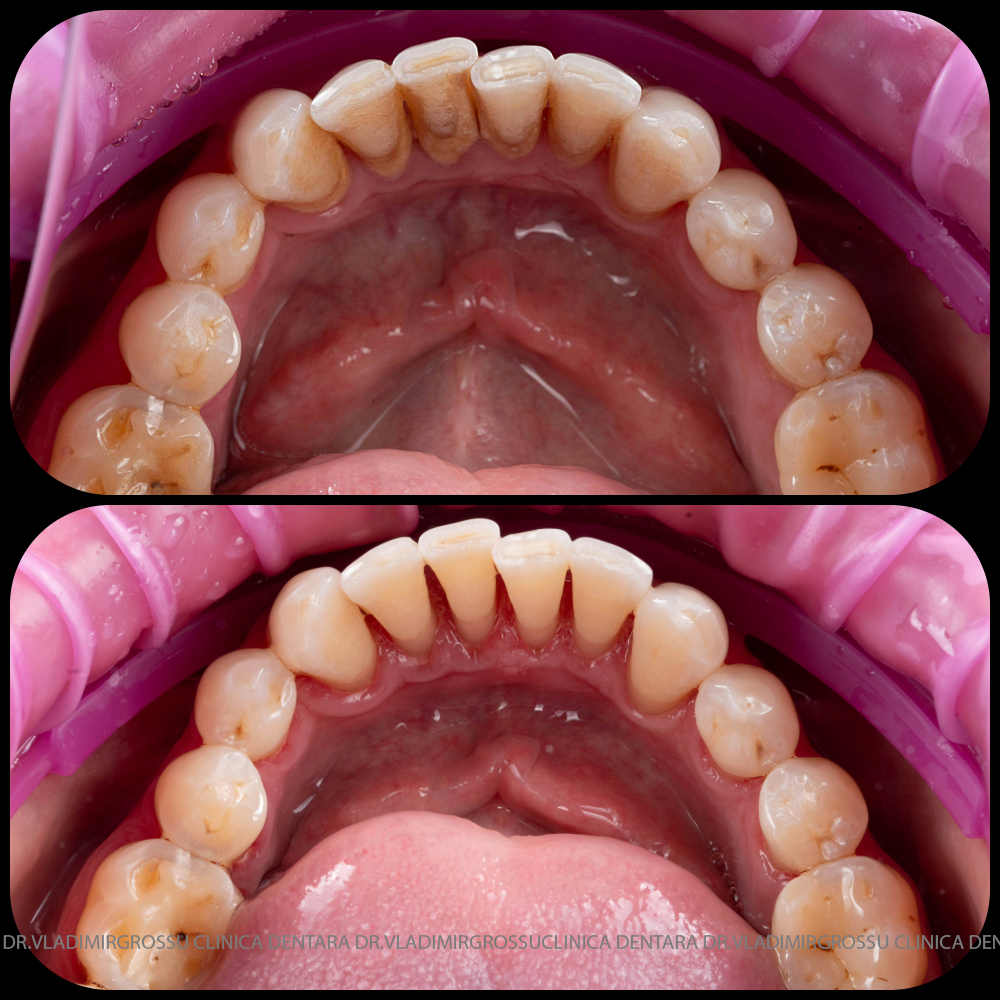
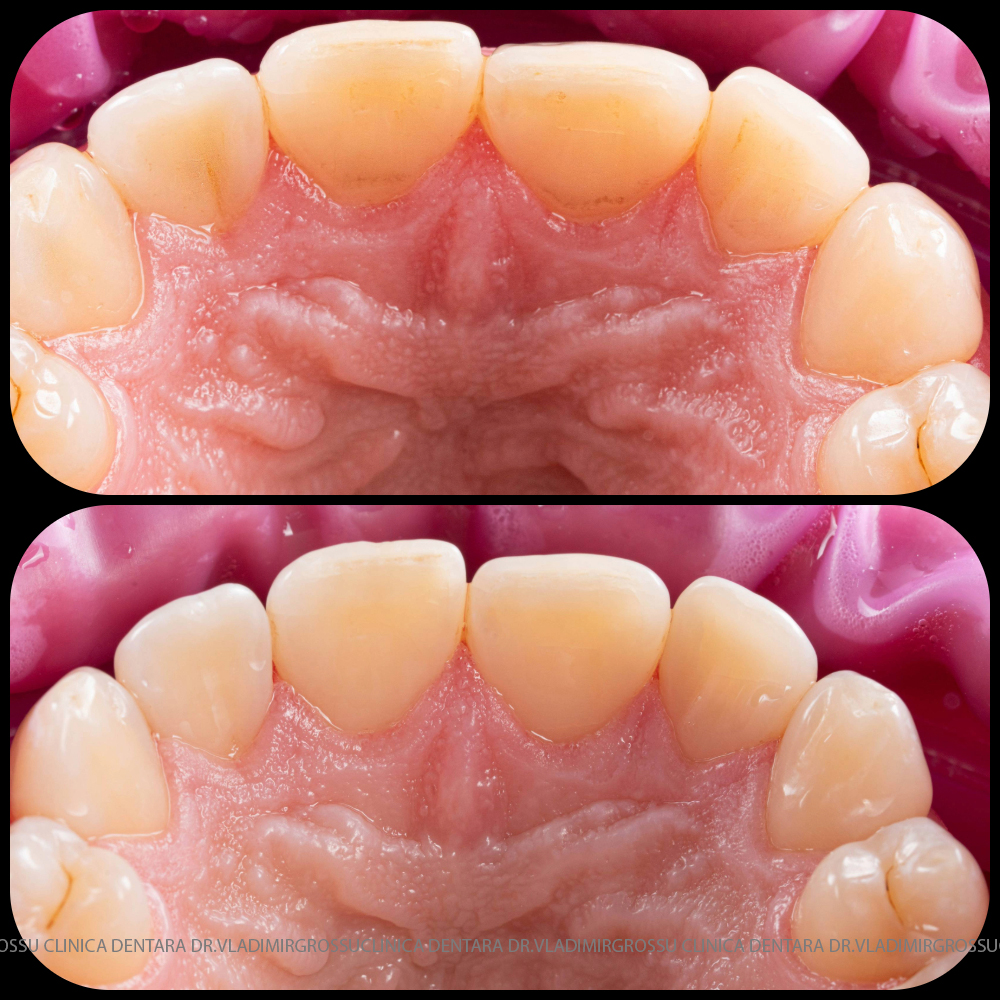
Detartrajul profesional este o procedură prin care se îndepărtează tartrul (piatra dentară) acumulat pe suprafața dinților și sub gingii, folosind tehnologie cu ultrasunete sau instrumente manuale specializate.
De ce este necesar?
Tartrul nu poate fi îndepărtat prin periaj acasă și favorizează:
- Inflamația gingiilor (gingivită)
- Retracția gingivală
- Mirosul neplăcut al respirației
- Mobilitatea dinților
- Apariția parodontozei
Etapele unui detartraj complet la Clinica Dentară Dr. Grossu
- Consultație inițială și evaluare profesională
- Detartraj ultrasonic – îndepărtarea tartrului vizibil și subgingival
- AirFlow – curățare cu jet de carbonat de calciu
- Periaj profesional cu paste abrazive speciale
- Fluorizare – întărirea smalțului dentar și prevenția cariilor
- Perioflow cu glicină (opțional) – la pacienți cu pungi paradontale
Cât de des trebuie efectuat detartrajul?
- La fiecare 6 luni pentru pacienții sănătoși
- La fiecare 3-4 luni pentru fumători, pacienți cu lucrări protetice sau cu afecțiuni parodontale
Frecvența este stabilită de medicul stomatolog în funcție de igiena orală, obiceiuri alimentare și istoricul medical.
Beneficiile detartrajului profesional
- Prevenirea afecțiunilor parodontale (boala parodontală)
- Respirație proaspătă și zâmbet mai curat
- Reducerea inflamației gingivale
- Îndepărtarea petelor cauzate de cafea, ceai sau fumat
- Creșterea eficienței tratamentelor stomatologice ulterioare
- Întărirea relației cu echipa stomatologică pentru o sănătate orală pe termen lung
Detartrajul doare?
La Clinica Dentară Dr. Grossu, folosim echipamente moderne cu ultrasunete și tehnici minim invazive pentru ca procedura să fie rapidă, eficientă și fără durere. În cazurile de sensibilitate gingivală, putem aplica anestezie topică locală pentru confort maxim.
Alege prevenția inteligentă – Nu aștepta durerea!
Detartrajul profesional nu este doar o procedură estetică, ci un tratament medical de prevenție, esențial pentru păstrarea sănătății orale pe termen lung.














