Proteze mobile totale
Deși medicina dentară a evoluat semnificativ, dinții naturali rămân întotdeauna cea mai bună soluție. Din păcate, aceștia nu sunt întotdeauna longevivi. În situațiile în care protezarea clasică nu este posibilă, iar implantarea este dificil accesibilă din punct de vedere financiar pentru unii pacienți, singura opțiune rămâne realizarea protezelor mobile.
Termenul „proteza mobilă” este adesea asociat cu idei depășite, precum necesitatea scoaterii acesteia pe timpul nopții și păstrarea într-un recipient cu apă. Această percepție este însă doar o iluzie, deoarece termenul „mobilizabilă” desemnează o categorie de proteze, iar multe dintre dezavantajele clasice, cum ar fi disconfortul la purtare, lipsa esteticii, necesitatea îndepărtării frecvente din cavitatea bucală sau dificultățile de igienă, au fost depășite.
Protezele mobile moderne se fixează etanș pe maxilar, eliminând disconfortul în timpul masticației, vorbirii sau respirației. Acestea se scot din cavitatea bucală doar pentru igienizare sau aplicarea gelurilor speciale care sporesc fixarea.
Tipuri de proteze mobilizabile
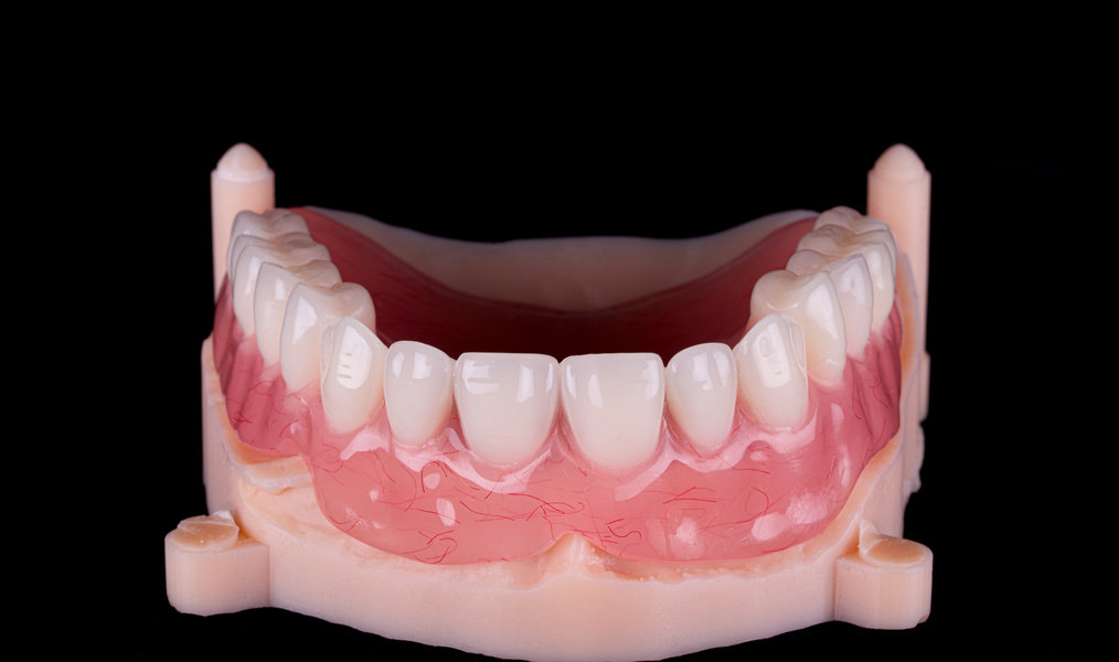
- Proteza mobilizabilă totală — destinată pacienților care au pierdut toți dinții pe una sau ambele arcade. Aceasta constă într-o bază pe care sunt montați dinții artificiali și se fixează pe gingia apofizelor alveolare și, în cazul maxilarului superior, pe palatul dur, restabilind funcția masticatorie.
- Proteza parțial mobilizabilă — recomandată pacienților cu pierderi dentare majore. Se diferențiază prin modul de fixare, având croșete care se sprijină pe dinții rămași, oferind astfel stabilitate suplimentară.
- Proteza scheletată — o proteză semifiziologică, indicată pacienților cu câțiva dinți restanți. Avantajul principal este fixarea superioară datorită repartizării forțelor masticatorii atât pe dinți, cât și pe țesutul gingival. Aceasta este confecționată din metal și include croșete și sisteme speciale. Proteza scheletată pentru maxilarul superior nu acoperă în întregime palatul, facilitând o adaptare mai ușoară.
Materiale utilizate pentru protezele moderne
Protezele mobilizabile sunt realizate în principal din acrilat, material care asigură păstrarea pe termen lung a formei, culorii, rezistenței și densității. Dinții artificiali sunt disponibili în seturi variate, ce diferă prin formă, culoare și dimensiune, astfel încât medicul și tehnicianul să poată selecta cea mai potrivită variantă pentru pacient.
Fixarea protezelor mobilizabile în cavitatea bucală
O fixare corectă a protezei este esențială pentru confortul pacientului. Pentru aceasta se utilizează substanțe speciale care:
- reduc perioada de adaptare;
- protejează gingia împotriva traumatismelor;
- asigură o masticație eficientă și o vorbire clară.
Varietatea produselor pentru fixare permite alegerea soluției optime, în funcție de fiecare caz în parte.
Principalele produse de fixare sunt:
- Cremă/gel — asigură fixarea protezei pentru 12-24 ore. Sunt recomandate pacienților cu hipersalivație, nu afectează gustul și nu modifică ocluzia.
- Prafuri — indicate în cazul hiposalivației, oferind o fixare rapidă și de durată.
- Benzile adezive — recomandate în cazuri de malformații maxilare sau pentru o adaptare prelungită, asigurând o fixare puternică și protejând gingia.
Îngrijirea protezelor mobilizabile
Curățarea regulată este obligatorie pentru menținerea sănătății cavității bucale și a durabilității protezei. Deoarece protezele aderă la gingie, există zone greu accesibile, care trebuie igienizate cu atenție. După fiecare masă, proteza trebuie îndepărtată și spălată, iar pacientul trebuie să clătească cavitatea bucală. Dacă acest lucru nu este posibil, igiena trebuie realizată cel puțin o dată pe zi.
De asemenea, se recomandă o curățare profesională la fiecare 6 luni, efectuată în laboratorul dentar.
Ce trebuie evitat
Pacienților cu proteze mobilizabile li se recomandă să evite alimentele lipicioase și vâscoase, care pot deteriora proteza. În primele zile de purtare, trebuie evitate alimentele dure pentru a preveni presiunea excesivă.
Pentru adaptarea progresivă, se recomandă consumul de alimente tăiate în bucăți mai mici și mai moi.
În cazul apariției disconfortului sau a traumatizării gingiei, este necesar să consultați medicul stomatolog pentru ajustări.
Purtarea protezelor pe timpul nopții
După o igienizare corectă, purtarea protezei pe timpul nopții este permisă. Nu există restricții speciale în acest sens. Totuși, în primele săptămâni după protezare, este recomandat să se poarte proteza și pe timp de noapte pentru o adaptare mai rapidă.
Recomandări pentru pacienții care încep să folosească proteze mobilizabile
Perioada de adaptare poate include un anumit disconfort sau iritație, fiind un proces individual. În general, adaptarea se realizează în una-două zile.
În această perioadă, este important să nu îndepărtați proteza înainte de consultația stomatologică, chiar dacă provoacă durere. În cazuri necesare, proteza poate fi scoasă temporar, dar trebuie reintrodusă pentru ca medicul să identifice corect zonele care necesită ajustare. Pentru o evaluare precisă, este recomandat să consumați ceva înainte de vizită.
La Clinica Dentară „Dr. Grossu” sunt disponibile servicii complete de protezare cu proteze mobilizabile, realizate cu profesionalism și tehnologie modernă.
