În
anul 1998, dr. Paulo Malo a introdus pentru prima dată conceptul All-on-4 în reabilitarea orală a pacienților, obținând rezultate remarcabile. De atunci, mii de pacienți au beneficiat cu succes de această tehnică. Sistemul de implanturi utilizat inițial în acest concept a fost Nobel Biocare, o companie cu o vastă experiență și o bază solidă de pacienți tratați, susținută prin numeroase
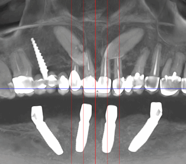
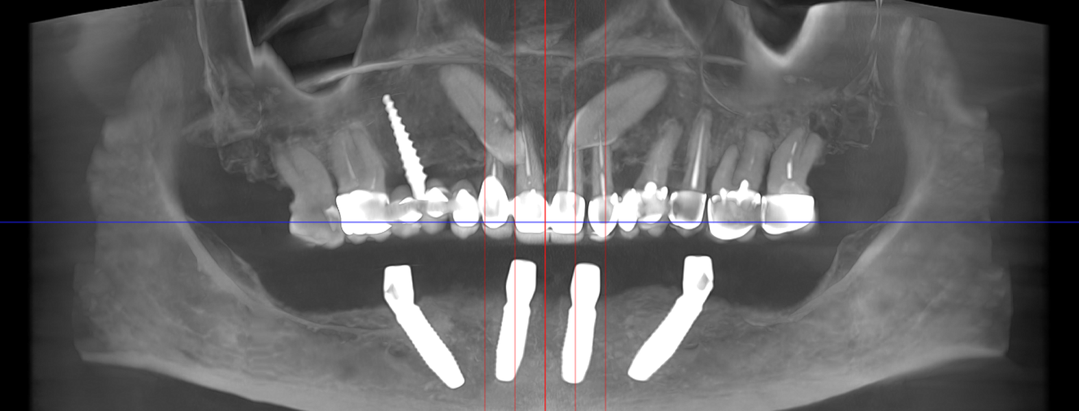
studii științifice.În cazurile de atrofie osoasă severă, când inserarea implanturilor în zonele laterale nu este posibilă fără adăugare osoasă, conceptul All-on-4 prevede plasarea implanturilor în unghiuri strategice pentru a evita zonele deficitare. Astfel, două implanturi sunt plasate în zona incisivilor laterali, iar alte două în zona premolarilor.
Această metodă este recomandată pacienților edentați total sau celor cu lipsuri dentare multiple. Procedura se realizează într-o singură etapă, iar pacientul primește proteza provizorie în ziua următoare intervenției. De regulă, proteza provizorie este realizată din masă plastică frezată. Suturile se îndepărtează după 5-7 zile.
La aproximativ 6 luni de la prima etapă, pacientul revine pentru protezarea definitivă. În această fază, medicul lucrează la nivelul multiunit-urilor și nu direct pe implanturi, ceea ce reduce riscurile pentru implant în etapa protetică.
Tomografii (CBCT)
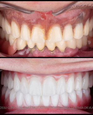
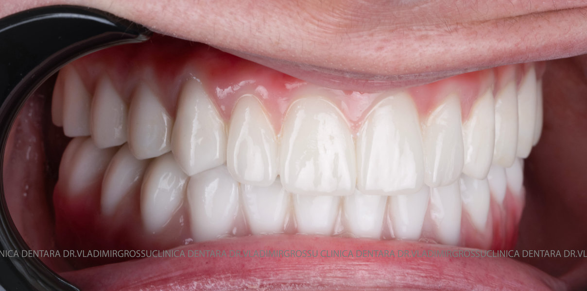
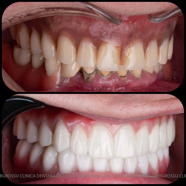
Caz 1
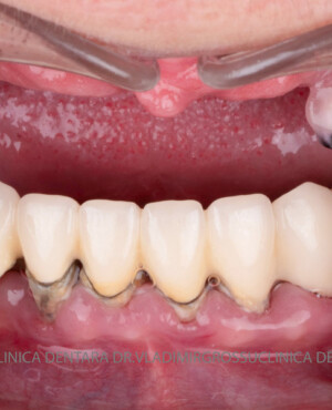
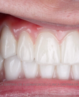
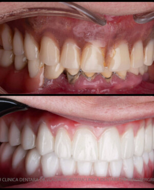
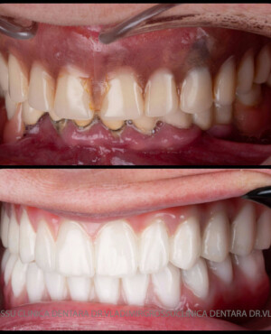
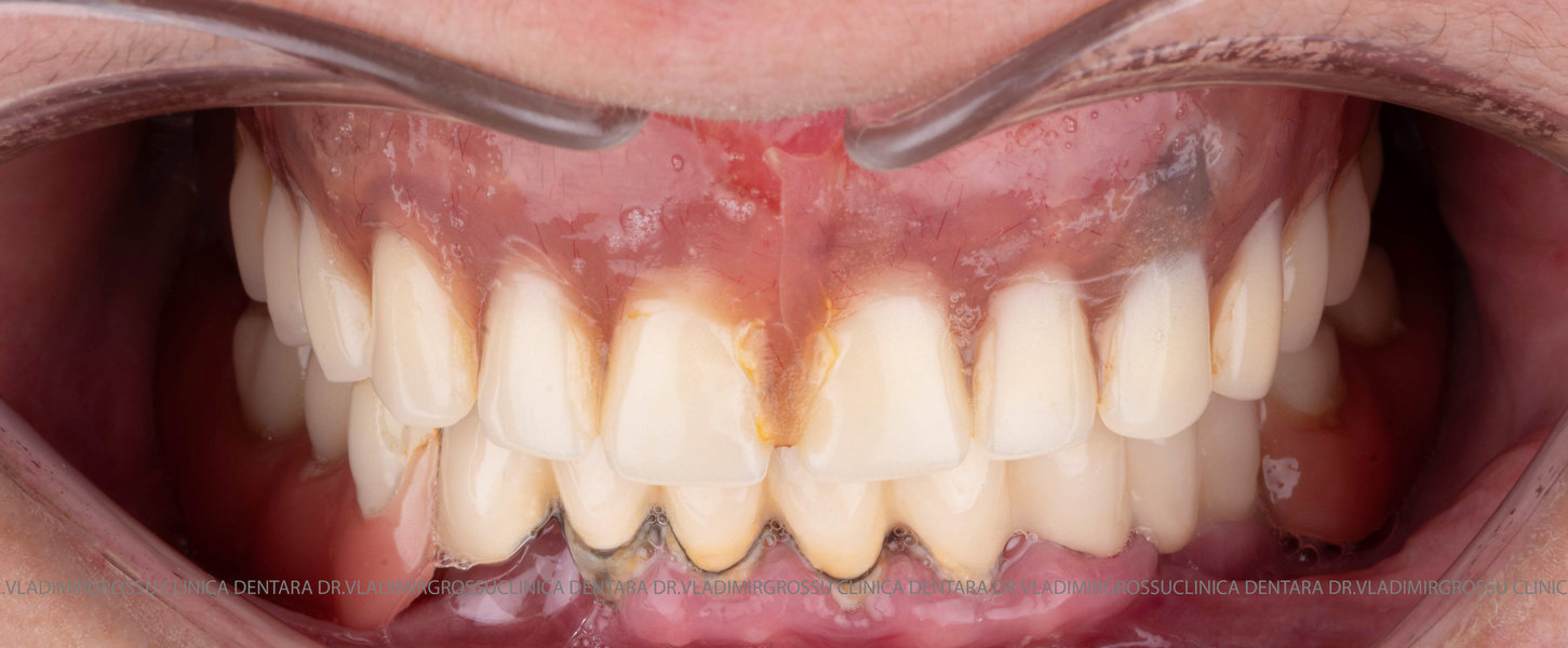
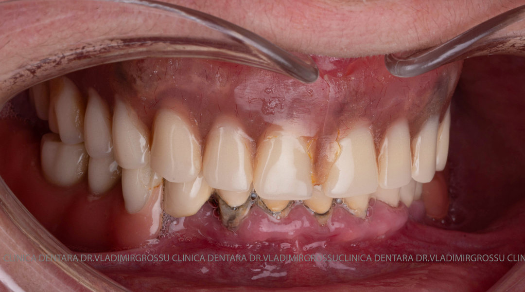
Caz 2
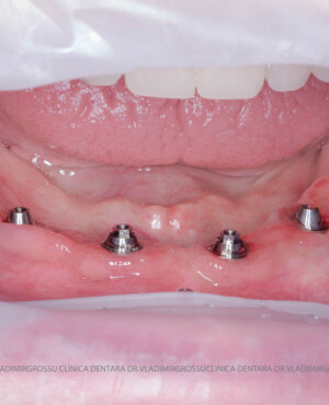
Componentele unui tratament corect All-on-4
Etapa provizorie:
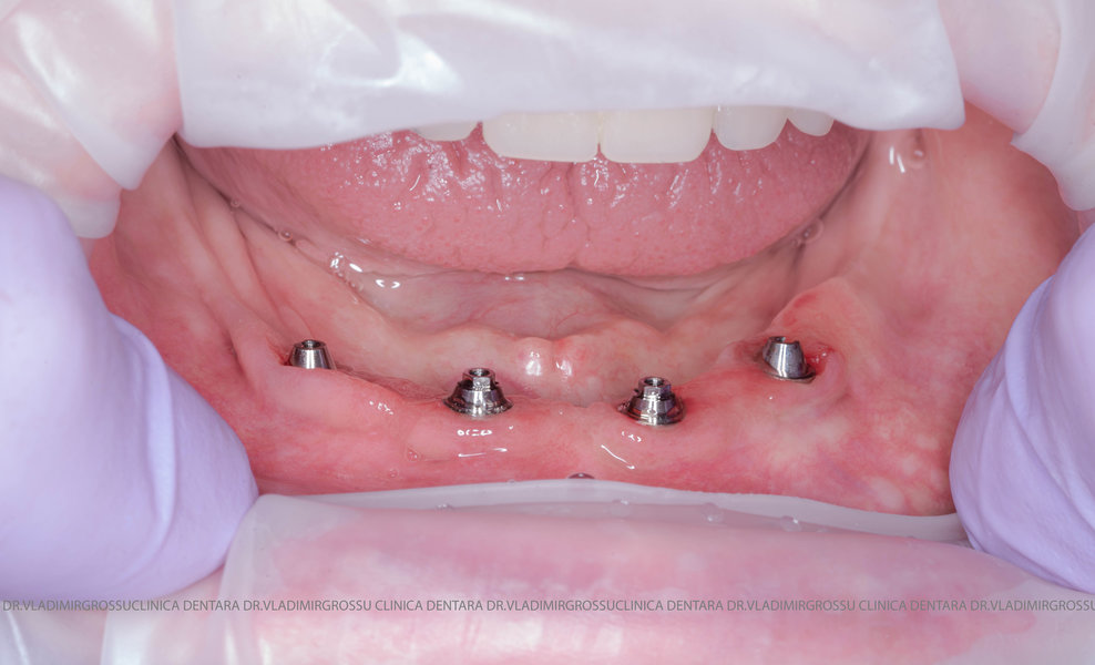
- 4 implanturi;
- 2 multiunit-uri drepte și 2 multiunit-uri angulate, conform necesităților protetice;
- 4 abutment-uri provizorii pe multiunit-uri;
- Proteză provizorie din masă plastică frezată sau proteză mobilizabilă pregătită și ajustată la componentele protetice.
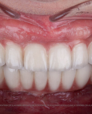
Pentru proteza definitivă:
- 4 abutment-uri permanente pe multiunit-uri;
- Proteză definitivă din metaloceramică sau zirconiu pe o structură metalică, cu 12 unități (soluția recomandată).
Elemente esențiale pentru succesul tratamentului
- Investigație imagistică completă, ideal CBCT (computer tomografie);
- Consult clinic obiectiv și detaliat;
- Planificare computerizată a intervenției și, dacă este necesar, realizarea ghidului chirurgical;
- Premedicație adecvată înaintea intervenției;
- Utilizarea tuturor componentelor originale și necesare;
- Componente originale care să minimizeze riscul micromișcărilor între piese în timpul funcționării (foarte important);
- Monitorizare atentă și control postoperator
Pentru pacienții cu edentație extinsă sau dinți nefuncționali, conceptele All-on-4 și All-on-6 oferă soluții fixe, moderne și eficiente, care asigură estetică, confort și funcționalitate superioară față de proteza mobilă.















































