Ce reprezintă reabilitarea complexă?
Reabilitare complexă
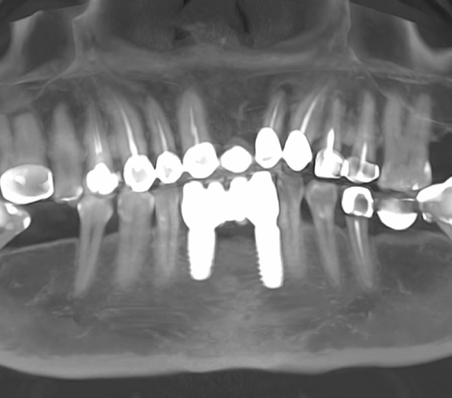
Reabilitarea complexă în stomatologie presupune refacerea completă a sistemului dentoalveolar, atât din punct de vedere funcțional, cât și estetic. Procesul începe cu o examinare detaliată a cavității bucale, interpretarea investigațiilor imagistice (CBCT), evaluarea musculaturii, articulațiilor temporomandibulare și a parametrilor estetici.
Tratamentul este coordonat de un medic responsabil, care gestionează întregul proces, implicând de regulă o echipă multidisciplinară formată din terapeut, ortodont, chirurg implantolog și protetist.
Durata reabilitării
Reconstrucția unui zâmbet frumos este doar o parte a procesului, care adesea necesită două sau trei etape. Pentru o reabilitare completă, durata tratamentului poate ajunge până la un an, iar în cazul intervențiilor ortodontice, perioada se poate extinde chiar la doi sau trei ani.
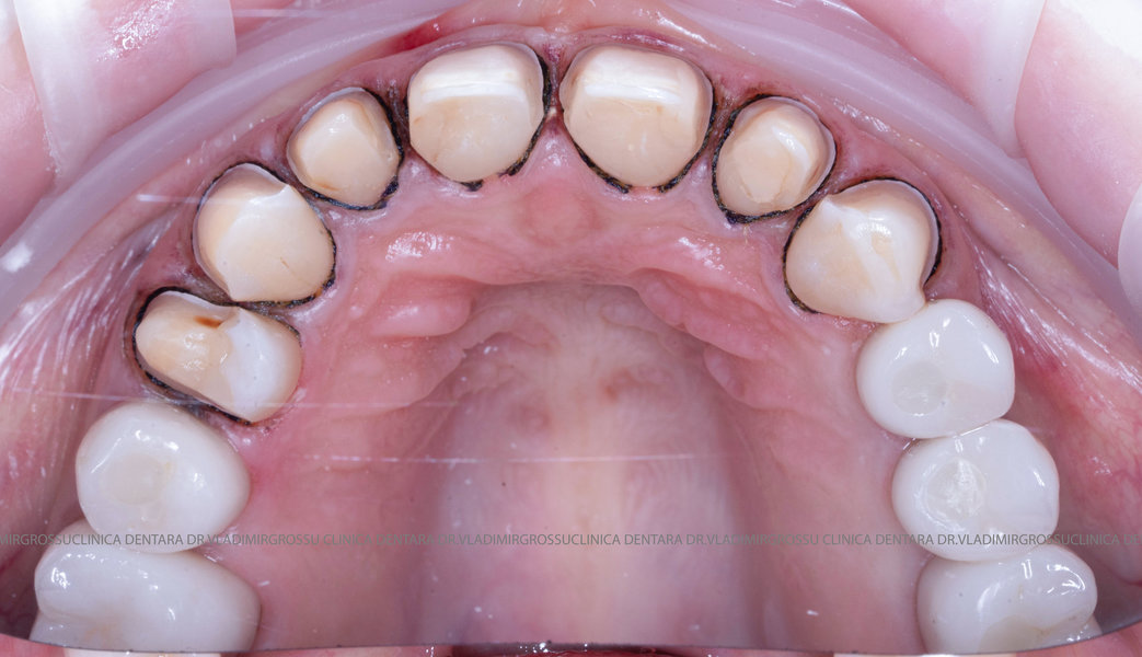
Numărul dinților care pot fi restaurați într-o singură vizită și perioadele fără dinți
Numărul dinților tratați într-o singură ședință depinde de tipul intervenției. Pentru pregătirea restaurărilor ceramice pot fi tratați doi-trei dinți simultan, în timp ce tratamentul endodontic necesită de obicei două-trei vizite pentru fiecare dinte. Se urmărește evitarea perioadelor fără dinți, însă, în unele situații, aceasta nu este posibilă din motive clinice sau financiare.
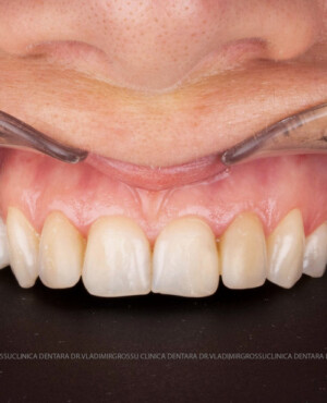
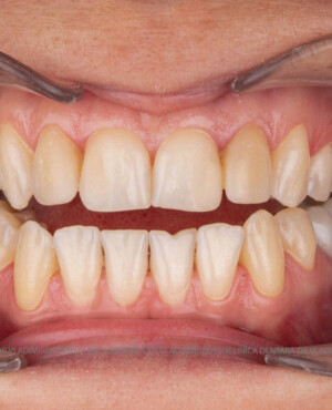
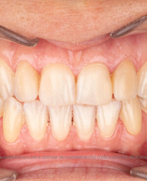
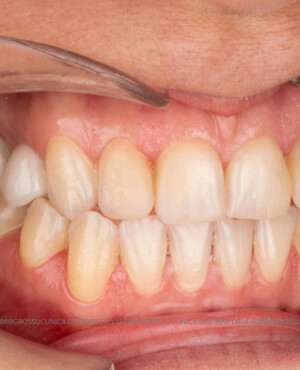
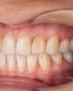
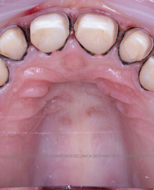
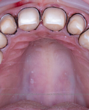
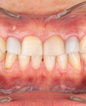
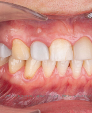
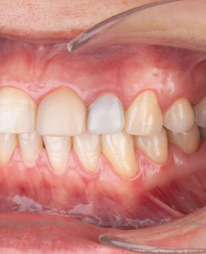
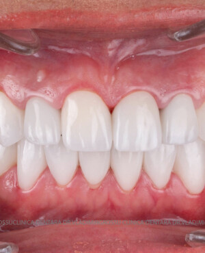
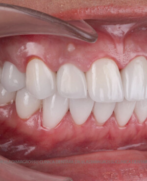
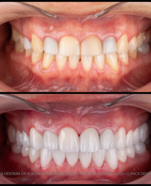
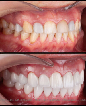
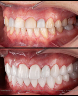
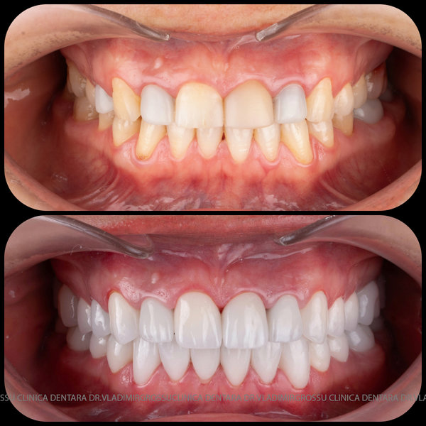
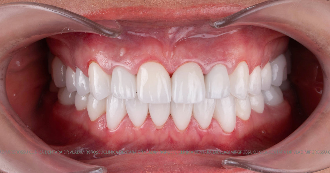
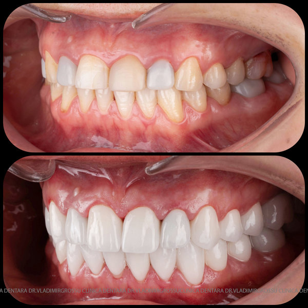
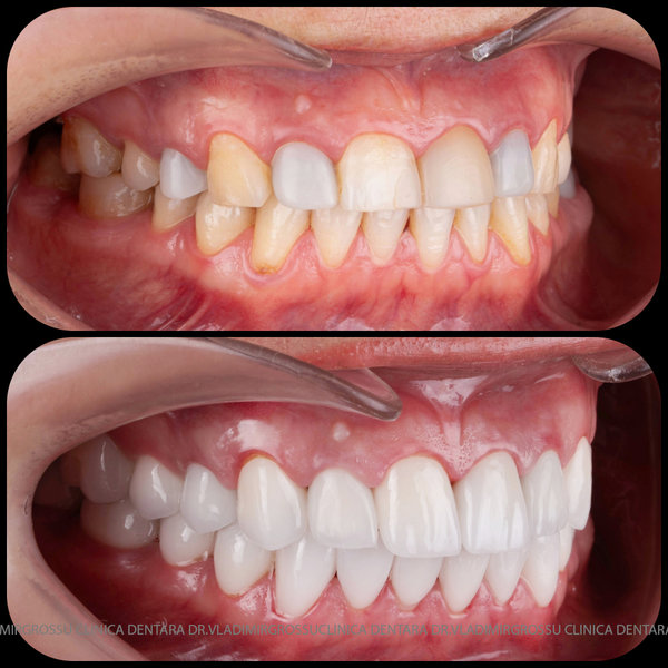
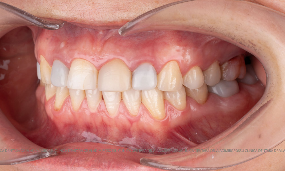
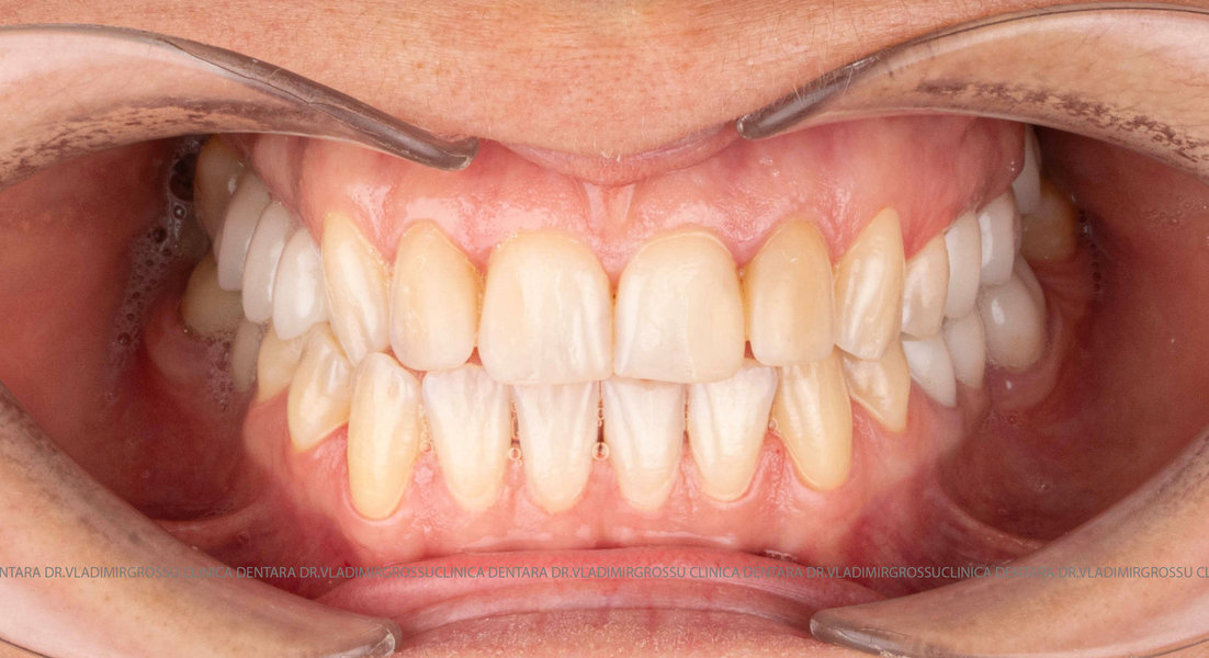
Cazuri clinice
Caz 1
Caz 2
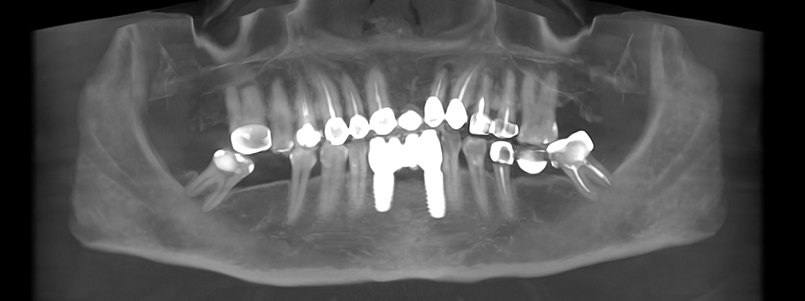
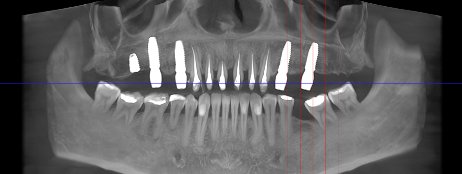
Tomografii (CBCT)
Caz 1
Caz 2
Designul noului zâmbet
În cazul în care pacientul pune la dispoziție fotografii vechi, acestea sunt analizate, însă adesea reabilitarea presupune crearea unui zâmbet nou, personalizat. Pacienții adesea au preferințe clare privind forma și aspectul dinților viitorului zâmbet, iar echipa medicală depune toate eforturile pentru a le respecta dorințele. Dacă este cazul, se propune un design alternativ, explicat pe larg pacientului, care, de regulă, îl acceptă. Protocolul foto-video este indispensabil pentru realizarea unor astfel de lucrări.
Stabilirea lungimii și formei dinților pentru efectul de întinerire
Parametrii estetici ai dinților – lungime, lățime și formă – se adaptează caracteristicilor anatomice individuale ale pacientului. Orizontul zâmbetului corespunde, în general, orizontului pupilelor, iar lungimea dinților este influențată de scheletul maxilarului superior, poziția și mobilitatea buzei superioare. Totuși, frumusețea este subiectivă și personalizată.
Restaurări cu coroane din zirconiu vs fațete ceramice
Atât fațetele ceramice (Emax sau 360) cât și coroanele din zirconiu sunt soluții estetice eficiente. Fațetele sunt indicate pacienților cu o poziție dentară relativ uniformă și dinți vitali, deoarece implică șlefuirea minimală a smalțului (0,4–0,7 mm) și fixarea adezivă sub coferdam. În cazurile cu dinți tratați endodontic, coroane pigmentate, proteze pe implanturi sau când este necesară o creștere semnificativă a ocluziei, se preferă coroanele din zirconiu.
Diferențe în forma dinților între bărbați și femei și accentuarea personalității prin zâmbet
Există anumite particularități estetice mai frecvente la bărbați sau femei, însă rareori acestea sunt cerute explicit. În crearea zâmbetului, accentul se pune pe armonia cu trăsăturile faciale generale. Fiecare dinte poate reflecta individualitatea pacientului. Zâmbetul este un element fundamental al comunicării sociale și contribuie la apropierea oamenilor, fiind un indicator al sincerității și al unei atmosfere pozitive.
Transformările estetice și impactul reabilitării asupra vieții pacienților
Reabilitarea dentară produce o schimbare vizibilă și profundă în aspectul pacientului, cu efecte pozitive evidente asupra stimei de sine și a calității vieții. Mulți pacienți relatează bucuria redobândirii funcției masticatorii și dispariția complexelor legate de aspectul dentar.
Recomandări pentru alegerea medicului sau clinicii
Prețurile excesiv de mici trebuie privite cu precauție. Un cost redus poate indica materiale de calitate inferioară, muncă necalificată, timp insuficient alocat procedurilor, accent pe cantitate în detrimentul calității, lipsa preciziei în design sau utilizarea unor componente neoriginale. Alegerea responsabilă a medicului și clinicii este esențială pentru un rezultat durabil și de calitate.


















































































