Stomatologia estetică reprezintă în prezent una dintre direcțiile principale de specializare a medicilor clinicii Dr. Grossu din Chișinău.Adiția sau augmentarea osoasă este o procedură chirurgicală prin care se refac defectele osoase rezultate în urma extracțiilor dentare, bolii parodontale sau traumelor dento-alveolare.
După extracția dentară, în intervalul de 6-12 luni, osul alveolar suferă un proces natural de remodelare, ceea ce conduce la scăderea volumului osos prin rezorbție. De aceea, inserția implantului dentar este ideală imediat după extracție sau, cel târziu, în primele 3-4 luni după aceasta.Scopul procedurilor de adiție osoasă este refacerea fundației osoase necesare pentru stabilizarea corectă a implantului dentar. Pentru ca un implant să reziste în timp la forțele masticatorii, este nevoie de o bază osoasă solidă și sănătoasă.
Adiția sau augmentarea osoasă
Termenii „adiție osoasă” și „augmentare osoasă” au același scop, diferența fiind că adiția osoasă presupune aplicarea materialului osos pe o suprafață plană, în timp ce augmentarea implică inserția materialului într-o cavitate, cum este cazul sinusului maxilar (procedura de sinus lifting).
Procesul de refacere osoasă este complex, însă, simplificat, se bazează pe faptul că osul adăugat se integrează treptat, fiind înlocuit parțial cu os natural, oferind astfel suportul necesar implantului.
Un biomaterial ideal pentru augmentare osoasă nu există, însă cele mai importante proprietăți ale unui graft osos sunt:
- osteoconductivitatea — capacitatea materialului de a servi drept schelet pentru creșterea osului nou;
- osteoinductia — capacitatea de a stimula formarea de os nou.
Este esențial ca ritmul de resorbție al materialului adăugat să fie corelat cu viteza de formare a osului natural.
Materiale utilizate pentru adiția osoasă
Cele mai utilizate patru categorii de materiale, în funcție de origine, sunt:
- Autogrefe — os propriu, recoltat de la pacient;
- Alogrefe — os uman prelucrat, recoltat de la donatori vii sau decedați;
- Xenogrefe — os de origine bovină;
- Materiale osteoplastice sintetice — cu avantaje și limitări specifice.
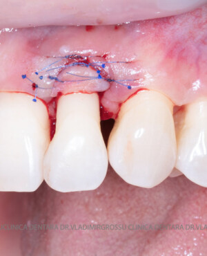
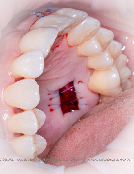
Un element esențial în procedura de aditie osoasă este utilizarea membranelor biologice, care izolează materialul osos de țesuturile moi (gingie) pe durata procesului de vindecare. Cele mai recomandate sunt membranele resorbabile din colagen sau pericard.
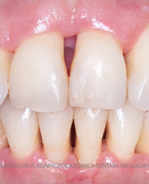
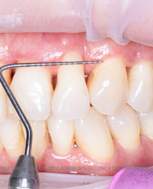
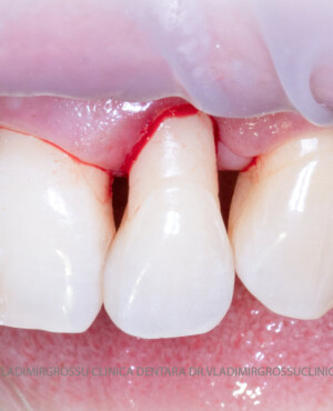
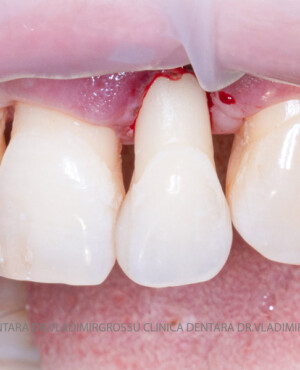
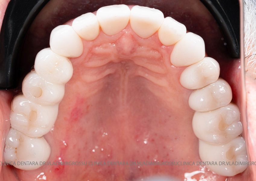
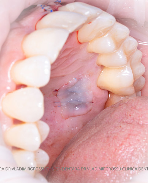
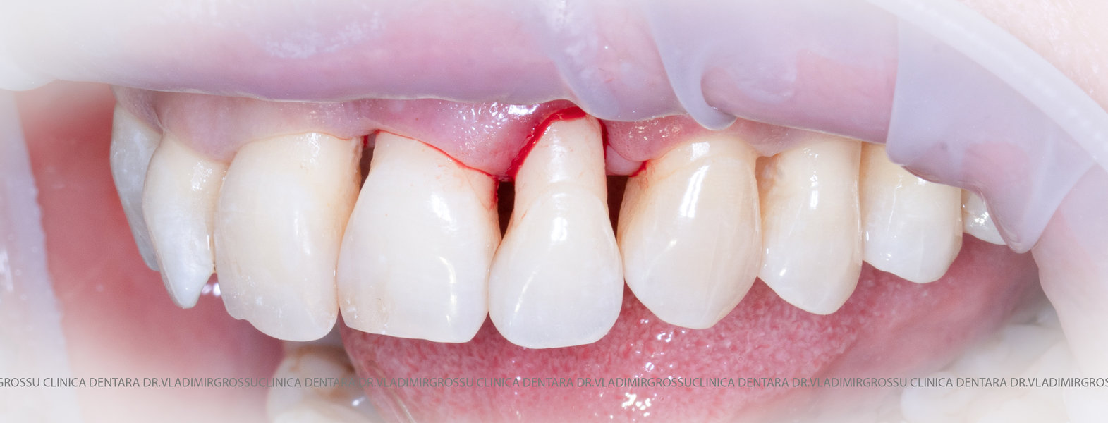
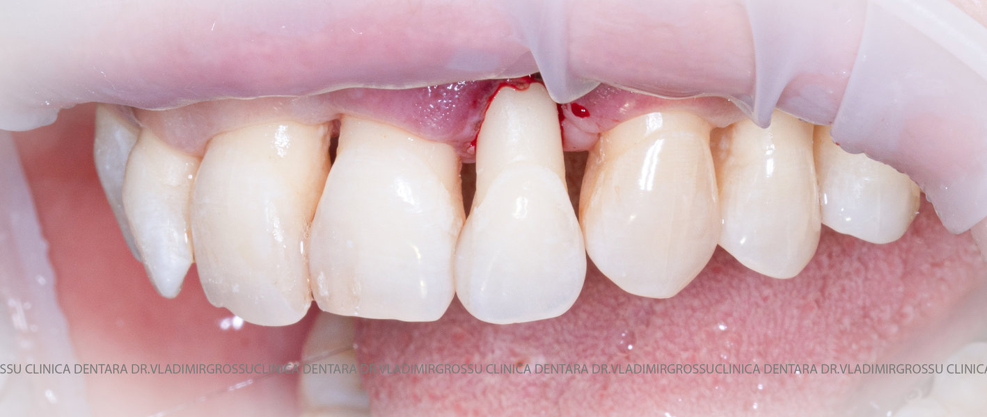
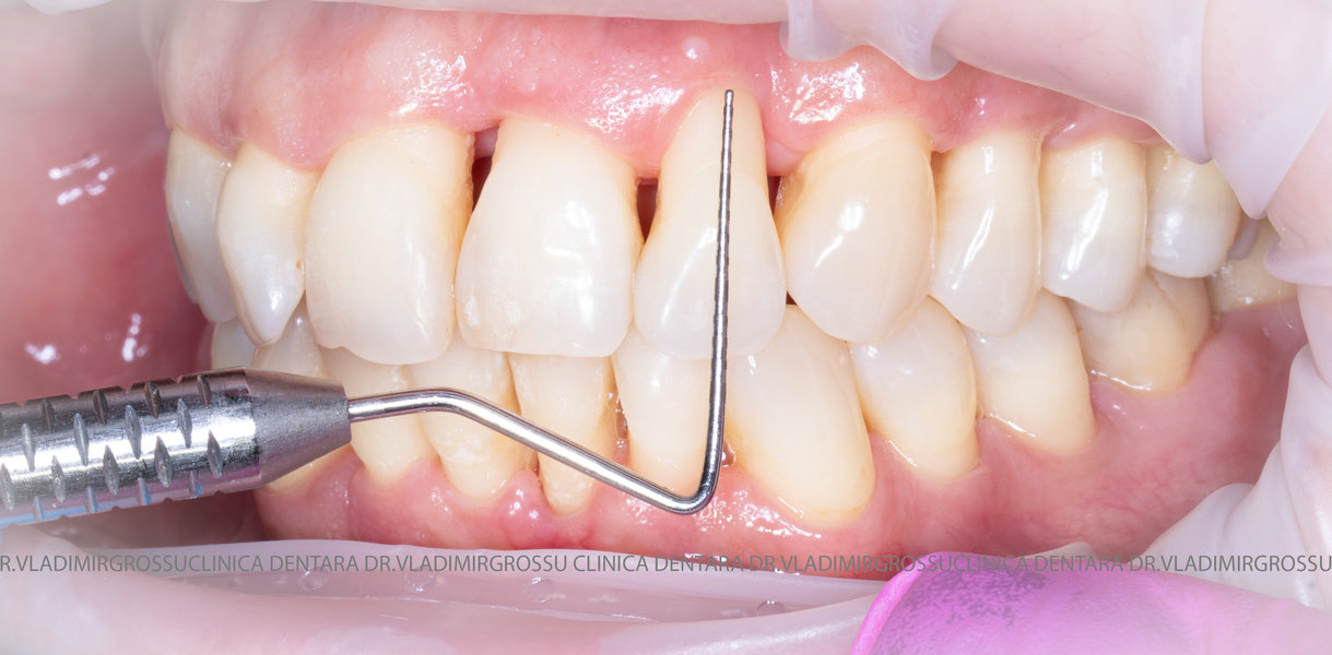
Adiția de gingie (gingivoplastia)
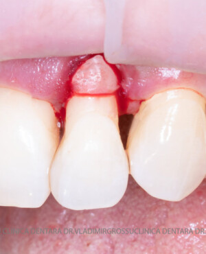
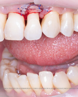
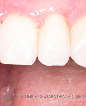
Aditia gingivală este o procedură chirurgicală ce corectează diverse probleme estetice și funcționale, cum ar fi recesiunea gingivală. În implantologia modernă, aditia de țesut moale este utilizată aproape în fiecare intervenție de inserție a implantului dentar pentru a asigura un aspect estetic natural și o bună integrare a implantului în cavitatea bucală.
Importanța adiției osoase în implantologia orală
Adiția osoasă are un rol crucial pentru poziționarea corectă și stabilă a implanturilor dentare. Clinica stomatologică Dr. Grossu din Chișinău promovează o abordare chirurgicală estetică și predictibilă, adaptată fiecărui caz în parte.
Medicii noștri au o vastă experiență atât în chirurgia estetică, cât și în protezarea cu un grad înalt de naturalitate, ceea ce ne permite să gestionăm cu succes și cele mai complexe cazuri.




















































































