Tratamentul gingiilor
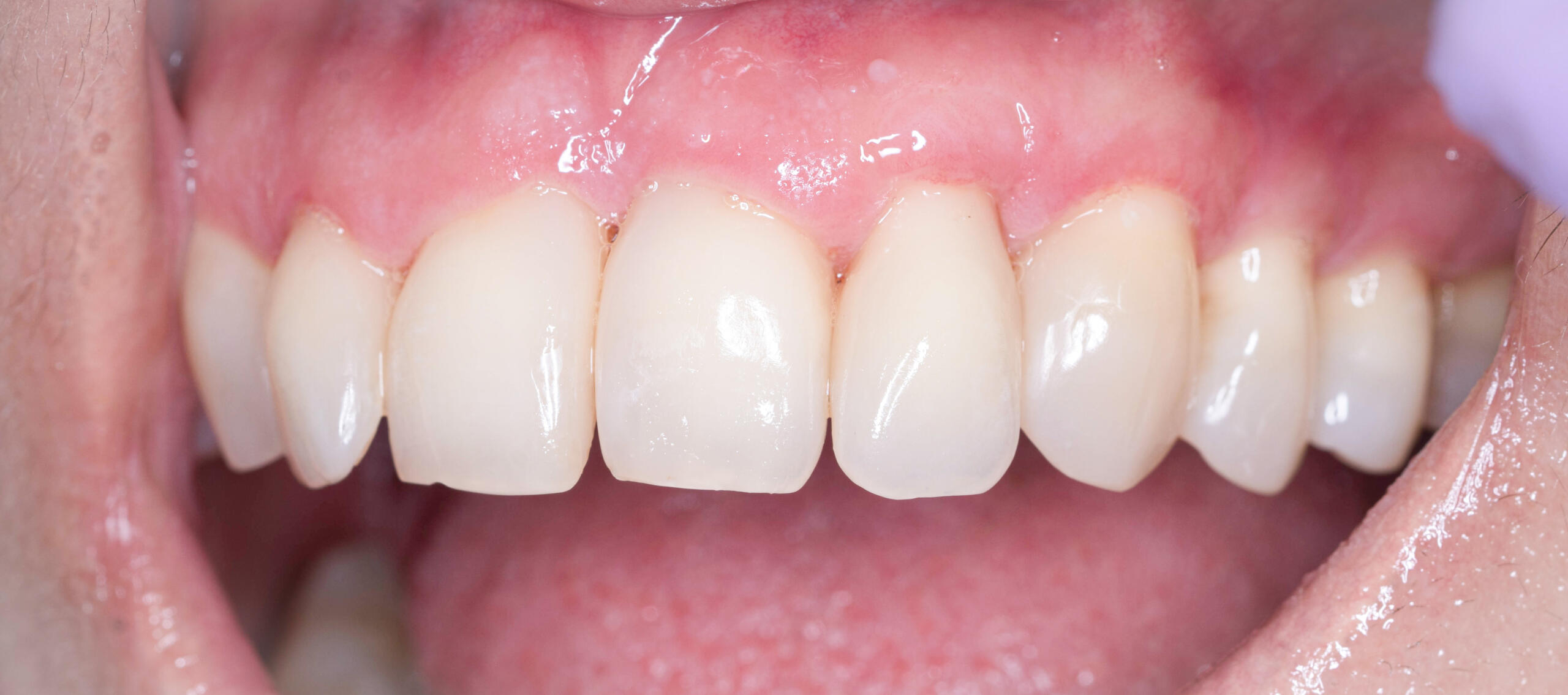
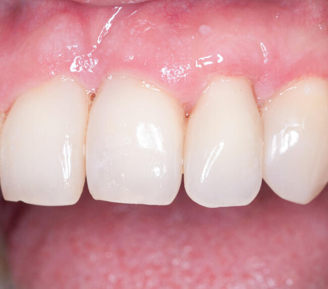
Gingiile sănătoase sunt esențiale pentru un zâmbet frumos și pentru longevitatea dinților naturali. Afecțiunile gingivale, adesea ignorate în fazele incipiente, pot evolua spre complicații severe precum parodontoza și pierderea dinților. La Clinica Dentară Dr. Grossu din Chișinău, oferim tratamente moderne, personalizate și minim invazive pentru sănătatea gingiilor tale.
De ce este important să tratezi gingiile la timp?
Bolile gingivale (parodontopatiile) afectează structurile de susținere ale dinților: gingia, osul alveolar și ligamentele parodontale. Netratate, pot duce la:
- Inflamații cronice
- Retragerea gingiilor
- Mobilitatea și căderea dinților
- Respirație urât mirositoare
- Risc crescut de boli cardiovasculare și diabet
Simptome ale afecțiunilor gingivale
- Gingii roșii, umflate sau dureroase
- Sângerări la periaj sau folosirea aței dentare
- Halitoză (respirație neplăcută persistentă)
- Retragerea gingiilor și alungirea vizibilă a dinților
- Senzație de mâncărime sau pulsații la nivelul gingiilor
- Mobilitate dentară
Dacă ai observat unul sau mai multe dintre aceste semne, este momentul să programezi o consultație la specialiștii noștri.
Tipuri de tratamente pentru gingii la Clinica Dentară Dr. Grossu
Tratament profilactic
- Detartraj profesional ultrasonic
- Periaj profesional și AirFlow
- Instrucțiuni personalizate de igienă orală
- Se recomandă pacienților cu gingivită ușoară sau în scop preventiv, la fiecare 6 luni.
Tratament pentru gingivită
- Curățare profesională profundă
- Aplicații locale cu geluri antiseptice (clorhexidină, fitocomplexe)
- Clătiri cu soluții antibacteriene
- Laser terapeutic Er:YAG sau LiteTouch – pentru reducerea inflamației și stimularea regenerării
Tratamentul parodontozei (boala parodontală)
- Chiuretaj subgingival manual sau cu laser – îndepărtarea plăcii bacteriene de sub gingie
- Tratament cu antibiotice locale (sub formă de geluri sau inserții)
- Terapie cu plasmă (PRF) – stimularea vindecării naturale a țesuturilor
- Intervenții chirurgicale parodontale în cazurile avansate (reconstrucții osoase, grefe gingivale)
Terapie de întreținere
După tratamentul activ, pacientul urmează un plan de menținere a sănătății gingivale prin:
- Rechemări la 3-6 luni pentru evaluare
- Igienizări profesionale regulate
- Supravegherea atentă a igienei orale la domiciliu
- Vistibuloplastie
Tehnologie modernă în tratamentul gingiilor
La Clinica Dentară Dr. Grossu, folosim:
- Laser dentar Er:YAG și LiteTouch pentru tratamente minim invazive
- Scanare digitală și evaluare 3D a structurii gingivale
- Tratamente PRF cu plasmă proprie pentru regenerare tisulară
- Microscop operator pentru intervenții de precizie
De ce să alegi Clinica Dentară Dr. Grossu?
- Echipă multidisciplinară cu experiență în parodontologie
- Soluții personalizate în funcție de severitatea bolii gingivale
- Tehnologie laser avansată și tratamente regenerative
- Atmosferă prietenoasă și comunicare clară cu pacientul
Îngrijirea gingiilor începe cu o consultație



