Restaurare estetică dentară
Un zâmbet frumos nu este doar o chestiune de estetică, ci și de sănătate orală. Restaurarea estetică dentară combină precizia tehnicii stomatologice cu principiile designului zâmbetului pentru a reda armonia, forma și funcționalitatea dinților afectați de carii, traumatisme, eroziune sau uzură.
La Clinica Dentară Dr. Grossu din Chișinău, utilizăm cele mai noi tehnologii digitale și materiale premium pentru a oferi restaurări estetice personalizate, durabile și naturale.
Ce este restaurarea estetică dentară?
Restaurarea estetică se referă la refacerea structurii, formei și culorii dinților afectați, folosind tehnici minim invazive și materiale moderne. Aceasta include atât tratamente funcționale (pentru ocluzie și masticație), cât și estetice (pentru un zâmbet armonios și alb).
Când ai nevoie de o restaurare estetică?
- Carie dentară avansată
- Dinți ciobiți, fracturați sau uzați
- Colorații sau pete inestetice
- Spații între dinți (diasteme)
- Dinți cu forme neregulate sau disproporționate
- Reconstrucții după tratament de canal
Tipuri de restaurări estetice oferite la stomatologia Dr. Grossu
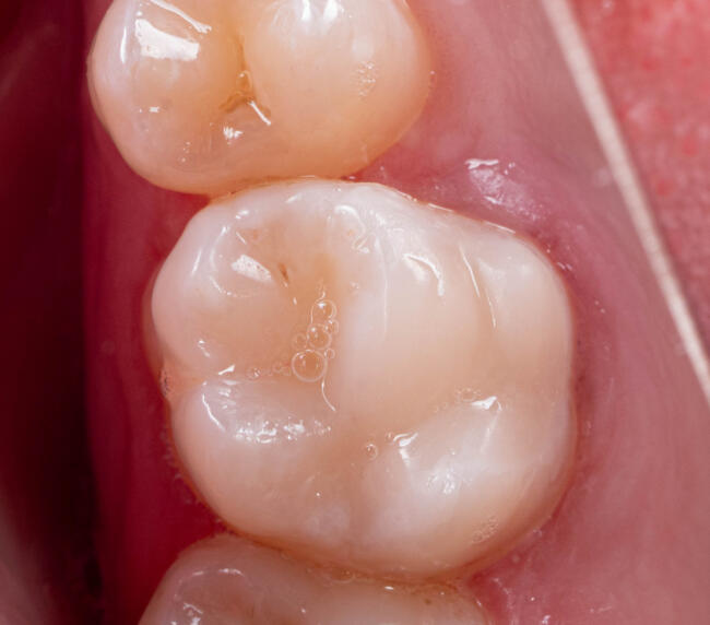
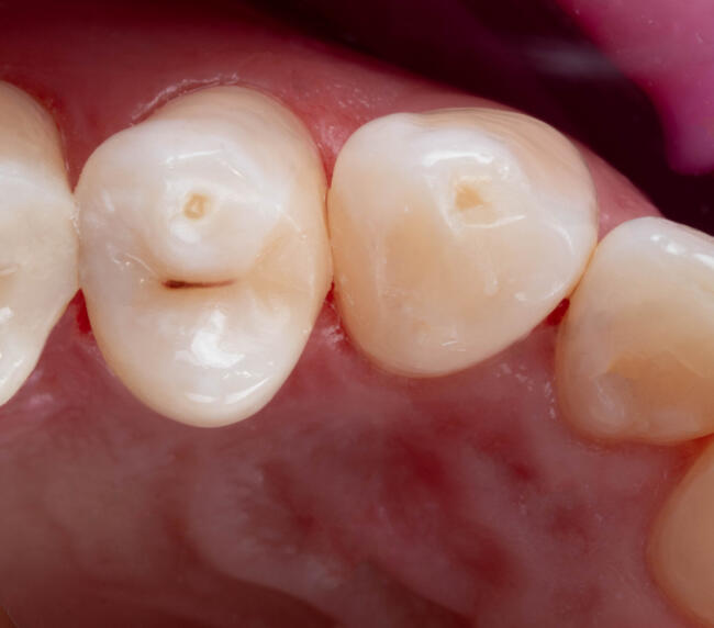
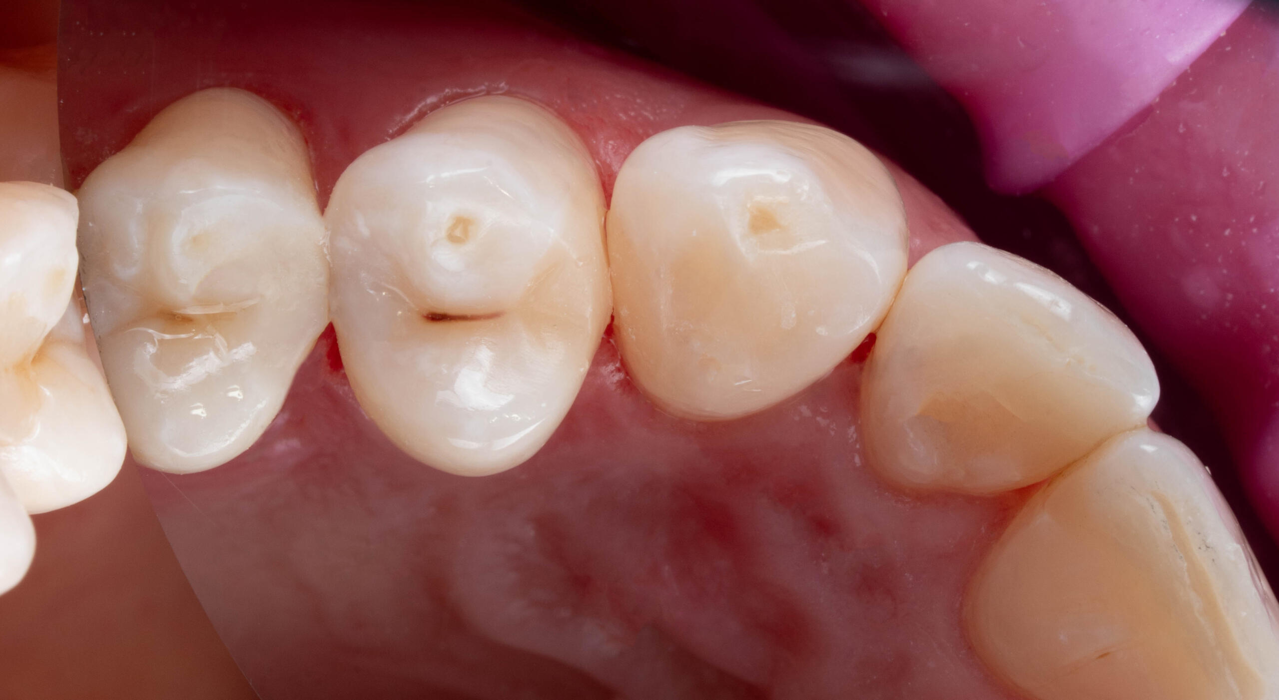
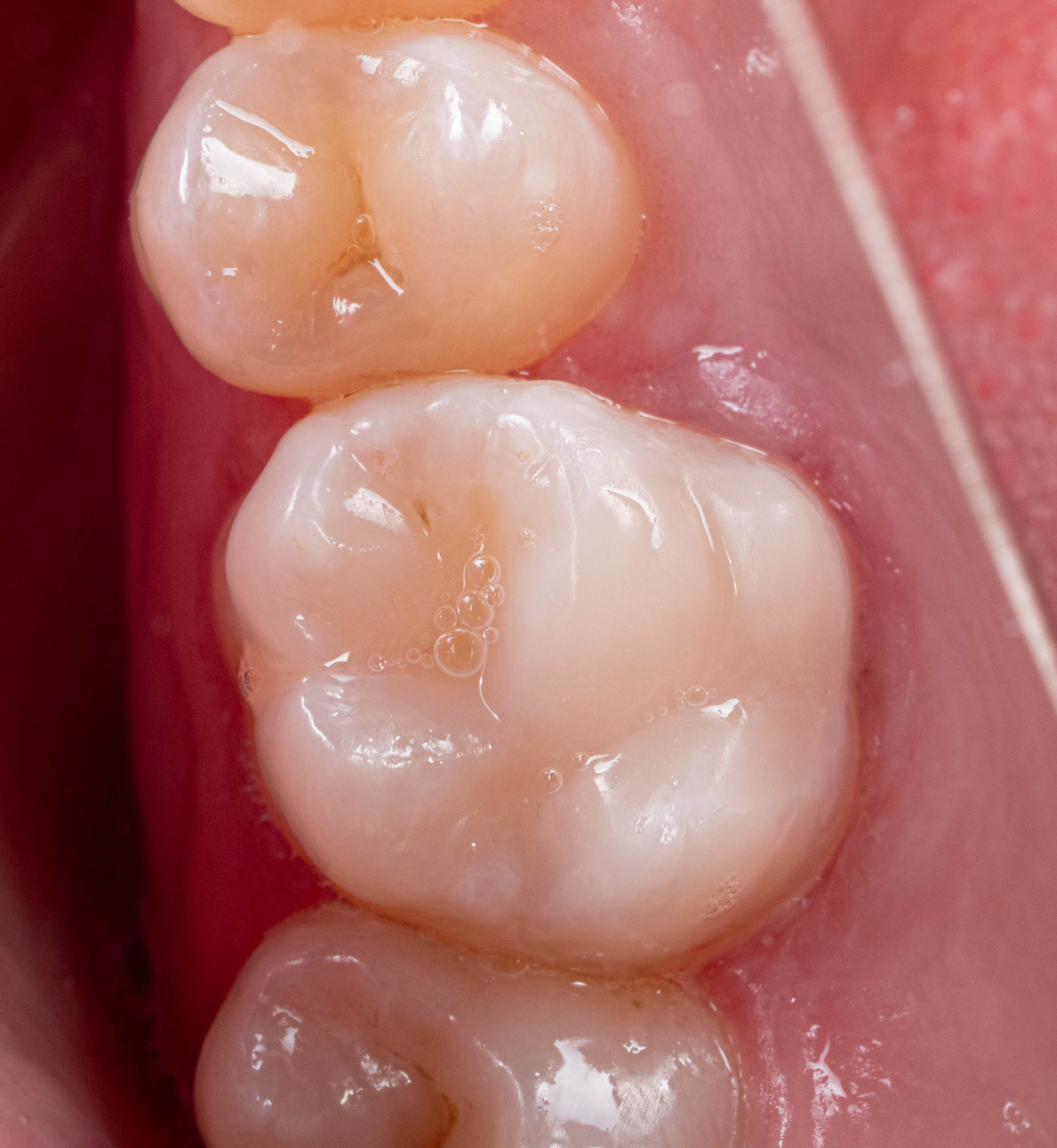
- Obturări estetice din compozit – refacere invizibilă a structurii dentare afectate de carii
- Fațete dentare – transformare completă a formei, culorii și aliniamentului dinților frontali
- Inlay/Onlay din ceramică – alternative estetice și durabile la plombele clasice
- Coroane integral ceramice – pentru dinți devitalizați sau foarte afectați
- Bonding dentar – corecții rapide pentru ciobituri, spații sau forme inegale
- Reconstrucții estetice după tratamente endodontice (cu pivot și coroană)
- Coroane din Zirconiu
Tehnologii moderne în restaurarea estetică
- Scanare digitală intraorală (Face Scan, modele 3D) – pentru precizie milimetrică
- Fotografii dentare și analiză facială – pentru planificarea zâmbetului ideal (Smile Cloud)
- Softuri de design digital al zâmbetului (DSD)
- Lucrări realizate în colaborare cu laboratoare dentare specializate în estetică
De ce să alegi Clinica Dentară Dr. Grossu?
- Echipă specializată în estetică dentară și restaurări complexe
- Materiale biocompatibile și naturale (compozite premium, ceramică E-max, zirconiu)
- Plan de tratament personalizat cu simulări digitale
- Lucrăm sub lupă sau microscop pentru detalii impecabile
- Rezultate estetice durabile, fără compromisuri funcționale
Etapele restaurării estetice
- Consultație estetică și analiză digitală a zâmbetului
- Fotografii, scanare intraorală și modele 3D
- Plan de tratament personalizat, adaptat nevoilor pacientului
- Pregătirea dinților (minim invazivă)
- Realizarea și aplicarea restaurării (într-o ședință sau două, în funcție de caz)
- Control estetic și funcțional final
Redă-ți încrederea cu un zâmbet restaurat estetic în stomatologia Dr.Grossu.









