Protezele metaloceramice reprezintă, fără îndoială, una dintre cele mai populare metode de protezare fixă utilizate până în anul 2015. Ele permit refacerea completă a funcției dentare, precum și restaurarea dinților deteriorați sau lipsă. Datorită capacității lor de a reproduce cu fidelitate aspectul natural al dinților sănătoși, protezele metaloceramice au revoluționat tratamentul protetic, oferind o estetică apropiată de cea naturală și funcționalitate ridicată.
Coronițele metaloceramice se caracterizează printr-o legătură solidă între carcasa metalică și stratul ceramic. Pentru fabricarea carcasei metalice se utilizează aliaje speciale, care pot conține metale prețioase sau semiprețioase, precum aur, platină, titan sau paladiu, dar și aliaje dentare pe bază de crom-cobalt, recunoscute pentru rezistența și biocompatibilitatea lor.
Avantajele principale ale coronițelor metaloceramice includ:
- Durabilitate și rezistență mecanică ridicată, grație tehnologiilor moderne de fabricație;
- Estetică bună, prin imitația smalțului natural realizată de stratul ceramic aplicat în straturi;
- Rezistență crescută la agenți chimici, microbi și coloranți din mediul bucal;
- Accesibilitate financiară comparativ cu alte tipuri de proteze.
Un posibil dezavantaj îl reprezintă riscul apariției unor fisuri sau crăpături în stratul ceramic, precum și expunerea marginii metalice la baza coroanei, ceea ce poate determina o colorare închisă a gingiilor în zona respectivă. Pentru a elimina acest efect, în stomatologia modernă se fabrică coronițe metaloceramice cu umăr (margine) integral ceramic, care previne contactul direct al gingiilor cu metalul.
Prin realizarea coronițelor în conformitate cu parametrii exacți ai dinților protezați, această tehnologie asigură atât estetica, cât și funcționalitatea necesare, conferind un aspect natural întregii dentații.
Un alt avantaj este etanșeitatea excelentă a protezelor, oferită de designul bordurii la nivelul marginilor de contact cu gingiile și de posibilitatea înlocuirii marginii metalice cu ceramică, ceea ce prelungește durata de viață a coroanei.
Limitări și aspecte tehnice
Un aspect delicat al protezării metaloceramice este pregătirea dentară, respectiv șlefuirea dinților. Acest proces poate genera, uneori, iritații sau arsuri termice ale pulpei dentare, cu riscul dezvoltării unei inflamații care se manifestă clinic după o perioadă de timp post-protezare. Aceasta poate impune îndepărtarea coroanei, retratarea canalelor și reprotezarea.
Pentru prevenirea acestor complicații, uneori este necesară depulparea dintelui și obturarea canalelor radiculare, mai ales în cazul molarilor cu șlefuire extinsă. Totuși, medicii proteticieni încearcă să păstreze vitalitatea dintelui acolo unde este posibil, pentru a menține rezistența naturală a țesuturilor dentare.
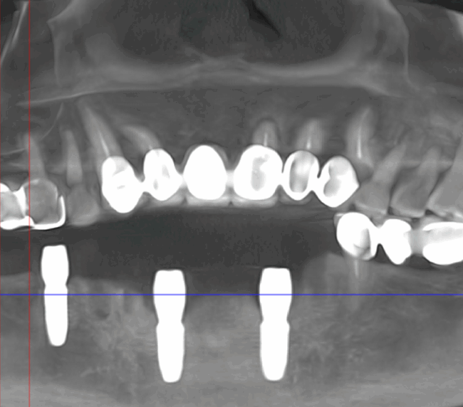
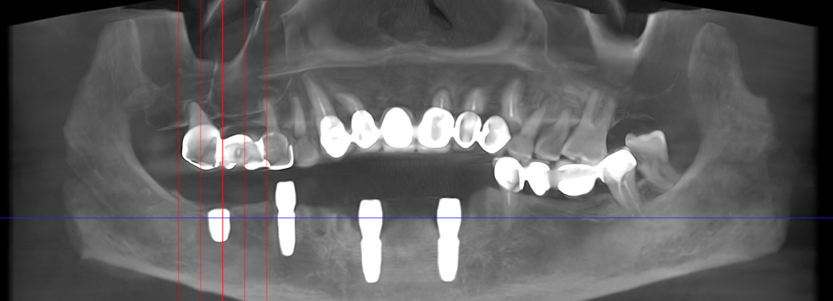
Tomografie (CBCT)
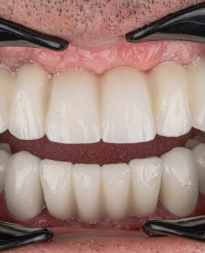
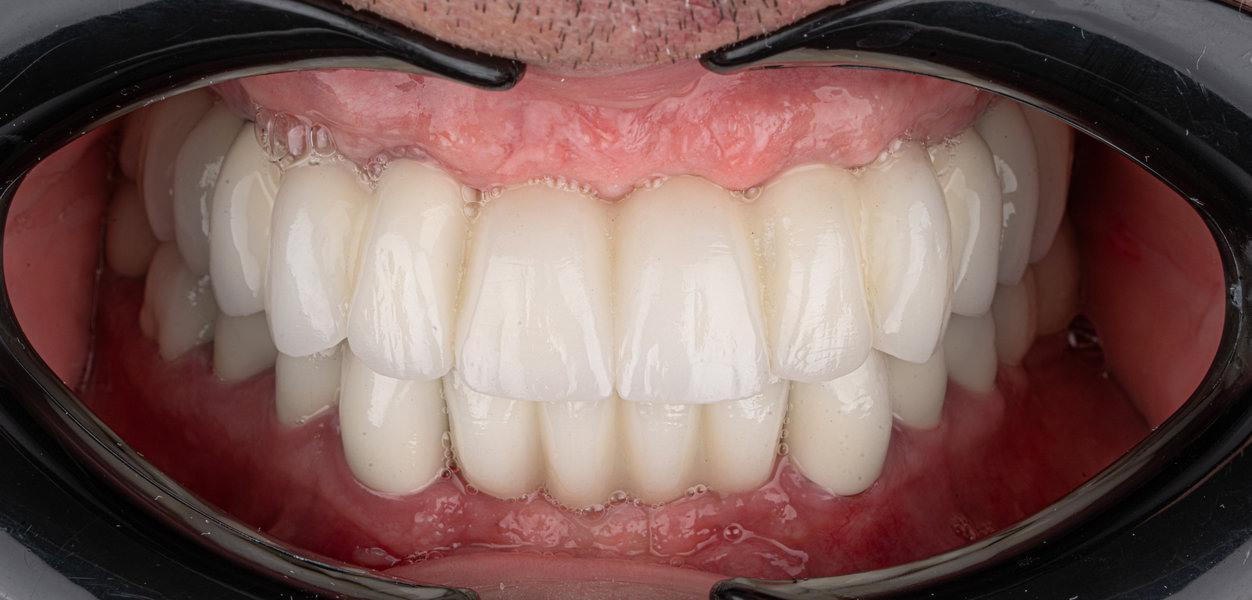
Caz 1
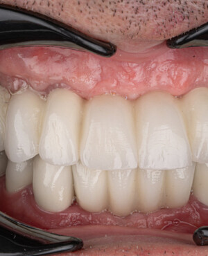
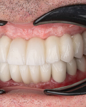
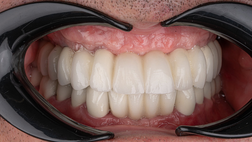
Caz 2
Indicații pentru protezarea metaloceramică
Această metodă este recomandată în următoarele situații:
- Restaurarea proprietăților estetice și funcționale ale dinților afectați;
- Hipoplazii dentare sau leziuni severe ale smalțului;
- Modificări cromatice și structurale ale dinților (fluoroză, abraziune, ciobire);
- Restaurarea dinților cu pierderi mari de substanță, când alte materiale compozite nu pot fi utilizate;
- Corectarea estetică a dinților cu poziție, formă sau dimensiuni anormale, când tratamentele ortodontice nu sunt suficiente;
- Înlocuirea coroanelor vechi, deteriorate sau nefuncționale cu coroane metaloceramice noi.
Avantajele protezării metaloceramice
- Aspect estetic natural și calitativ, care permite refacerea armonioasă a zâmbetului;
- Funcționalitate completă, asigurând procesul normal de masticație;
- Rezistență și durabilitate, cu o durată medie de viață de aproximativ 8 ani;
- Prevenția apariției cariilor sub coroane datorită etanșeității ridicate;
- Cost accesibil în comparație cu soluțiile integral ceramice sau pe bază de zirconiu;
- Compatibilitate biologică și hipoalergenicitate;
- Posibilitatea de a fi montate pe implanturi dentare;
- Posibilitatea confecționării atât de coroane, cât și de punți dentare.
Concluzie
Protezele metaloceramice reprezintă o tehnologie consacrată, utilizată cu succes de-a lungul anilor în numeroase clinici stomatologice, inclusiv în Centrul Stomatologic Dr. Grossu. Totuși, în contextul progresului tehnologic, această metodă este înlocuită treptat de coroanele integral ceramice și cele pe bază de zirconiu, care răspund mai bine cerințelor estetice moderne și oferă o estetică superioară.












