„Un zâmbet este suficient pentru a face totul posibil”, spunea celebrul scriitor francez Gilbert Sebron.
Astăzi, putem adăuga că acest zâmbet trebuie să fie și frumos. De ce este „IQ-ul dentar” un semn al succesului în zilele noastre?
În ultimii cinci-șase ani, conștientizarea privind sănătatea și estetica dentară — ceea ce putem numi „IQ dentar” — a crescut semnificativ, mai ales în rândul oamenilor de afaceri. Pacienții care ajung în clinicile stomatologice au adesea așteptări clare și informate, cunoscând standardele moderne de tratament și cele mai noi tehnologii disponibile. Internetul și mass-media au avut un rol esențial în această transformare, iar schimbările în psihologia și mentalitatea oamenilor reflectă dorința de a prezenta o imagine impecabilă. Dinții sănătoși și albi, precum și o respirație proaspătă, influențează decisiv prima impresie, fie la un interviu de angajare, fie în mediul de afaceri. Această conștientizare este un semn încurajator al schimbării.
În fiecare caz clinic, medicul stomatolog evaluează cu atenție starea cavității bucale și propune un plan de tratament adaptat, care să asigure atât sănătatea și funcționalitatea dentiției, cât și estetica. Totuși, este important să subliniem că dorințele pacientului joacă un rol esențial. Dorința de a avea un zâmbet frumos, care să creeze o impresie favorabilă, este legitimă, iar responsabilitatea medicului este să găsească echilibrul optim între funcționalitate și aspectul estetic, personalizat pentru fiecare pacient.
Progresele tehnologice și noile materiale au extins enorm posibilitățile stomatologiei restaurative, inclusiv în ceea ce privește estetica tratamentelor.
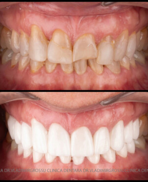
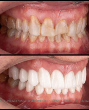
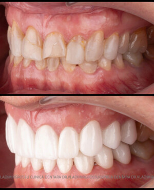
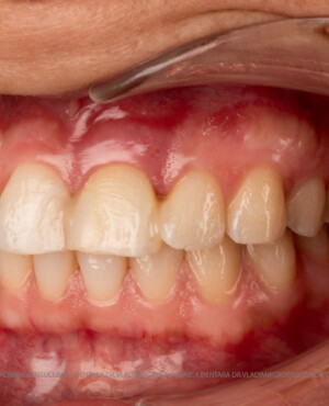
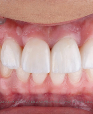
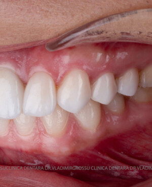
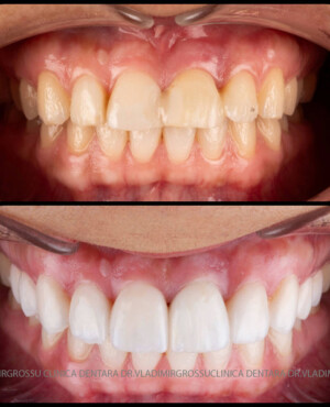
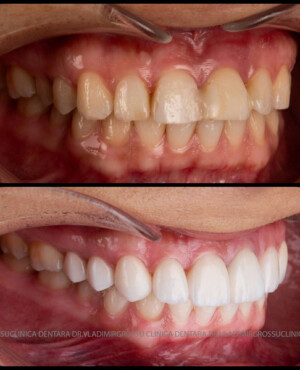
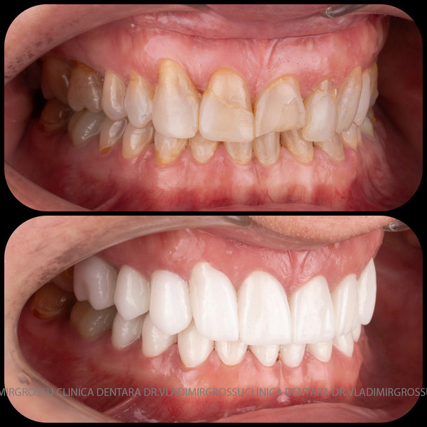
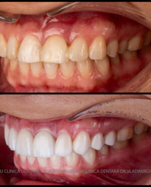
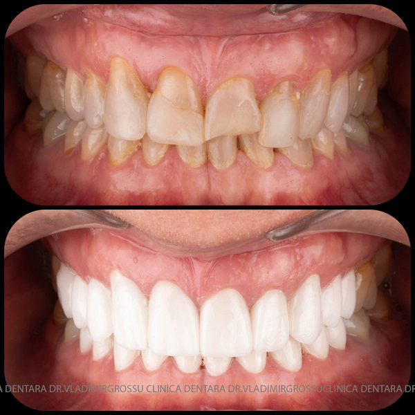
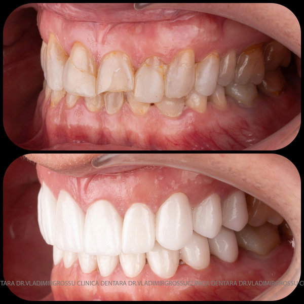
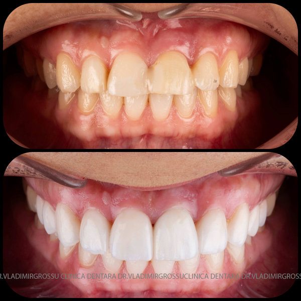
Fațetele adezive din porțelan reprezintă o soluție modernă în restaurarea dinților anteriori, reușind să combine funcționalitatea cu un aspect natural. Proprietățile optice superioare ale ceramicii permit obținerea unui rezultat biomimetic — fațetele imită perfect aspectul și transparența dinților naturali, aducând astfel un plus estetic și funcțional.
Principiul de bază este că dintele natural, intact și sănătos, în nuanțele sale ideale, reprezintă standardul pentru orice restaurare. Abordarea este fundamentată pe respectarea sănătății biologice a pacientului. Scopul este de a restabili integritatea funcțională a țesuturilor dentare prin crearea unei legături monolitice între fațetă și țesuturile sănătoase ale dintelui, distribuind astfel uniform tensiunile funcționale și asigurând un rezultat estetic armonios pentru întreaga coroană dentară.
Geometria biologică a dintelui este stabilită de natură, iar sarcina medicului este să reproducă fidel această arhitectură, atât la exterior, cât și în structura internă, în cadrul restaurărilor ceramice, fie că este vorba despre fațete sau coroane integrale.
Un zâmbet echilibrat este rezultatul armoniei între estetica dinților și sănătatea țesuturilor gingivale. Nu poate fi compensat un defect al țesuturilor moi prin corectarea exclusivă a dinților, și invers.
Pentru o comparație simplă, imaginați-vă un automobil scump și performant: calitatea lui nu exclude necesitatea schimbului regulat de ulei și a verificărilor tehnice periodice. La fel, după investiția într-un tratament stomatologic costisitor, sunt necesare controale și profilaxie regulate pentru menținerea rezultatelor — și asta depinde în totalitate de pacient.
Fațete dentare (Veneer)
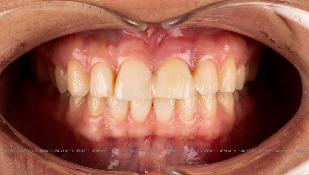
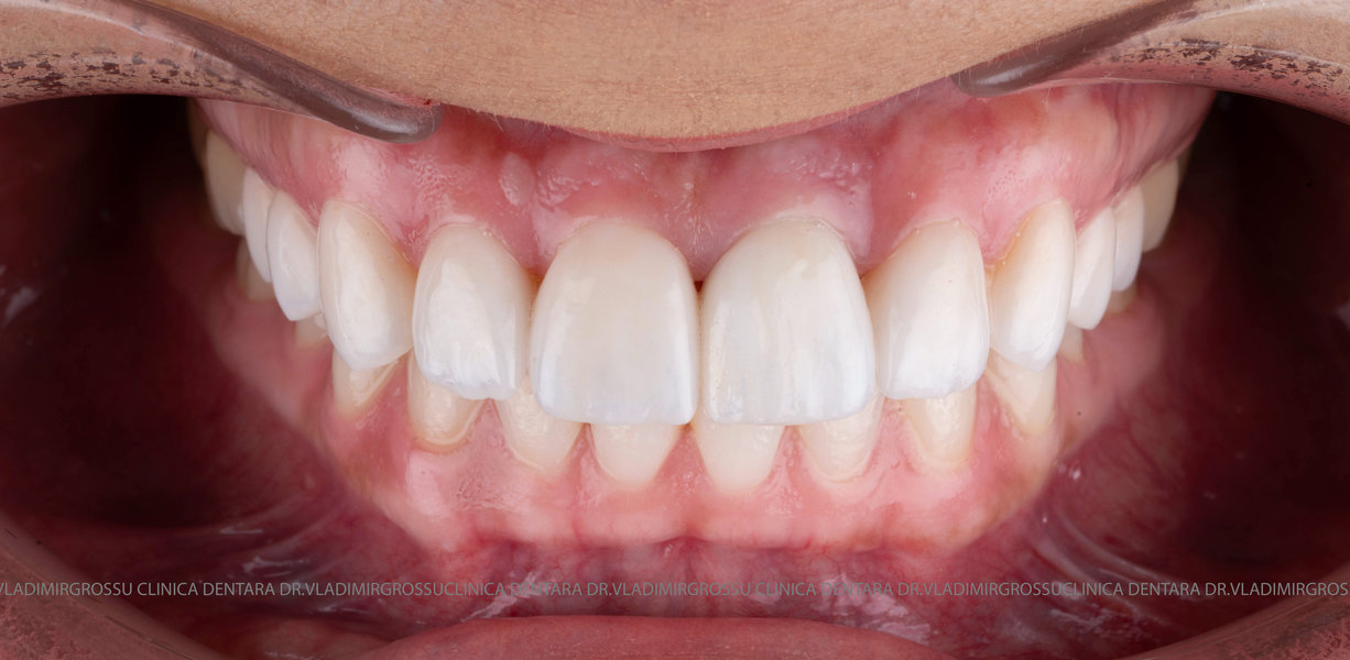
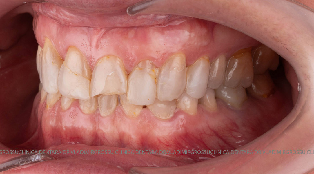
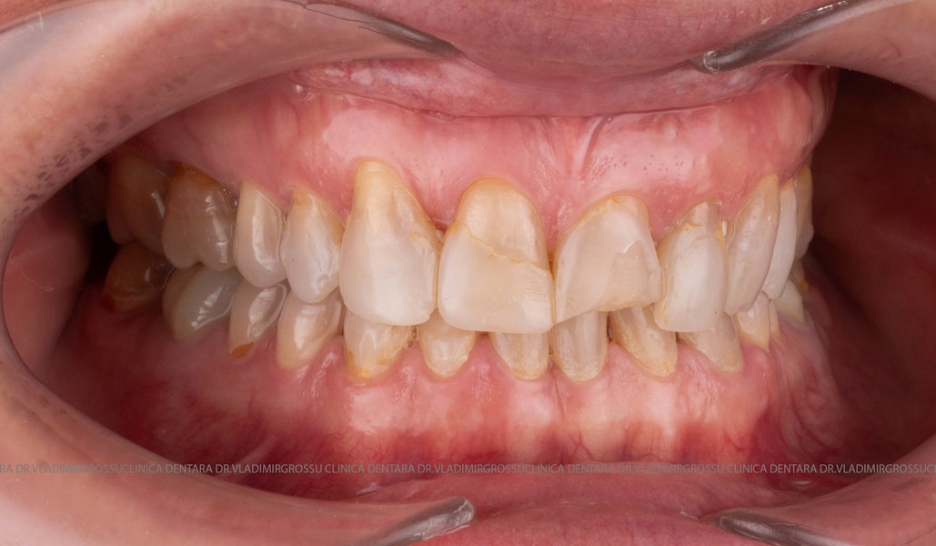
Fațetele dentare sunt plăci subțiri din ceramică, cu o grosime între 0,3 și 0,7 mm, care înlocuiesc stratul exterior al dinților.
Ele pot corecta majoritatea imperfecțiunilor estetice din zona zâmbetului: fisuri, ciobituri, spații între dinți, pigmentări ale smalțului, forme neuniforme sau dimensiuni disproporționale ale dinților.
Unul dintre cele mai avansate materiale pentru fațete este disilicatul de litiu (ceramica E.max), care se remarcă prin rezistență crescută și transparență excelentă, oferind rezultate estetice și funcționale durabile.
Participarea activă a pacientului în planificarea tratamentului estetic este esențială. Pregătirea pentru fațete include curățarea și tratarea cavității bucale: detartraj, tratamentul cariilor simple și complicate (pulpită, parodontită). Pacientul alege, împreună cu medicul, forma, culoarea și poziția viitorilor dinți.
Succesul tratamentului depinde de colaborarea armonioasă dintre pacient, medic și laboratorul dentar. Machetul din ceară, folosit în faza preliminară, ajută la vizualizarea obiectivului final.
Montarea fațetelor presupune o pregătire minim invazivă a suprafeței dintelui, prin îndepărtarea unui strat foarte subțire de smalț, pe care fațeta este apoi fixată prin tehnici adezive moderne, care asigură o legătură monolitică între fațetă și țesutul sănătos. Aceasta permite distribuirea optimă a tensiunilor și asigură un rezultat estetic deosebit.
Există două tipuri principale de fațete:
- cele clasice, care acoperă suprafața vestibulară și parțial marginile laterale ale dintelui;
- fațetele 360°, care înconjoară complet dintele, protejându-l integral, fiind recomandate în cazul leziunilor majore.
Modelarea digitală avansată permite o adaptare perfectă a fațetelor pe suprafața dintelui, asigurând etanșeitate, stabilitate a culorii și durabilitate în timp.
Ceramica adezivă este de asemenea utilizată pentru refacerea înălțimii dinților afectați de abraziune patologică, prin acoperirea completă a dinților maxilarului superior și inferior, restabilind funcționalitatea și estetica dentiției.
Pe baza investigațiilor amănunțite (CBCT, analiza facială, scanări intraorale), echipa multidisciplinară creează un plan complet de tratament, incluzând aspectele medicale, financiare și calendarul procedurilor.
În timpul tratamentului, folosim permanent tehnologii avansate de mărire a imaginii (microscop CJ Optik, binocluri Exam Vision 5.7X, Carl Zeiss), garantând astfel cele mai înalte standarde de calitate.
Concluzie
Un zâmbet frumos și sănătos a devenit un indicator esențial al încrederii și succesului personal, iar fațetele dentare moderne oferă o soluție estetică durabilă, care îmbină tehnologia de vârf cu respectul pentru sănătatea naturală a dintelui.



























































