Pierderea unuia sau mai multor dinți nu afectează doar estetica zâmbetului, ci și sănătatea întregii cavități orale. Puntea dentară protetică este o soluție rapidă și funcțională de restaurare a danturii, restabilind aspectul natural, vorbirea clară și eficiența masticației. La Clinica Dentară Dr. Grossu din Chișinău, realizăm punte dentară fixă sau pe implanturi, personalizată pentru fiecare pacient, cu materiale moderne și tehnologie de precizie.
Ce este o punte protetică?
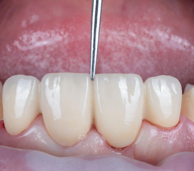
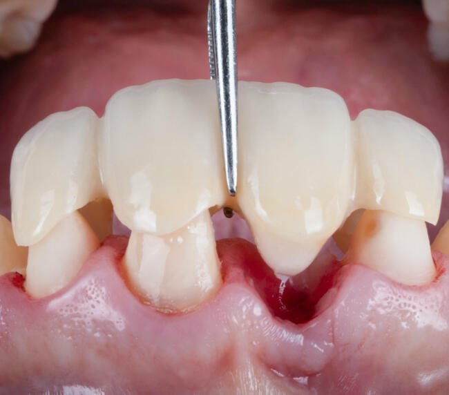
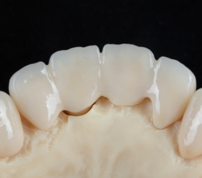
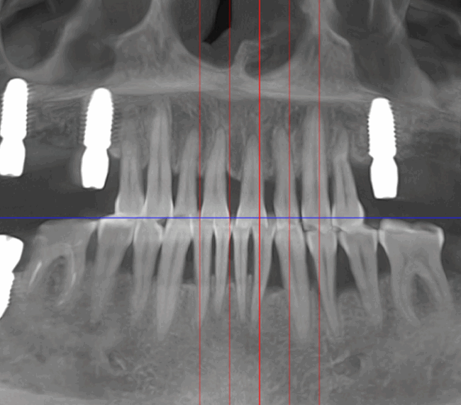
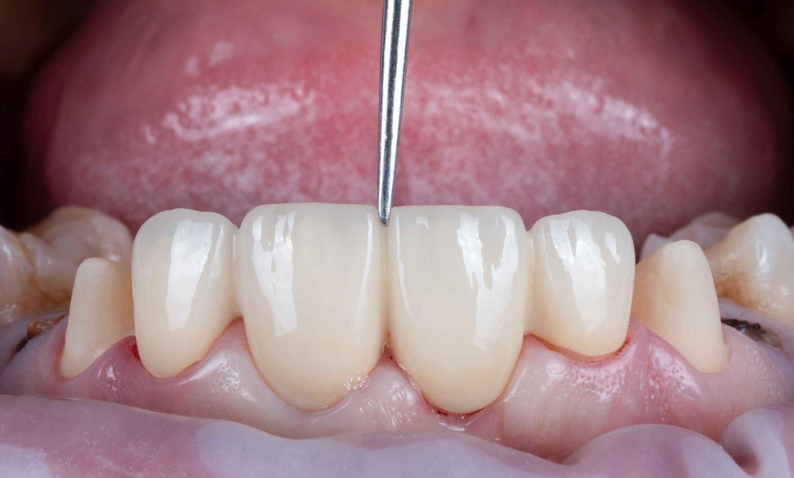
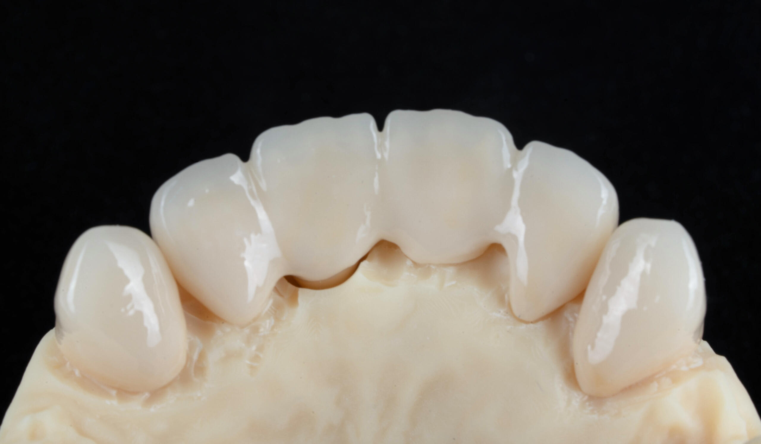
O punte dentară este o lucrare protetică fixă formată din una sau mai multe coroane dentare unite, menite să înlocuiască unul sau mai mulți dinți lipsă. Aceasta se sprijină pe dinții naturali învecinați (șlefuiți și acoperiți cu coroane) sau pe implanturi dentare în funcție de caz.
Tipuri de punți dentare
- Punte clasică pe dinți naturali – susținută de dinții vecini șlefuiți
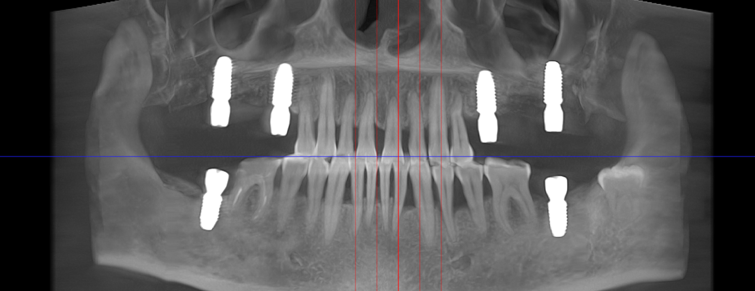
- Punte pe implanturi dentare – fixată pe 2 sau mai multe implanturi
- Punte cantilever (în consolă) – susținută doar de un singur dinte
- Punte Maryland (adezivă) – fără șlefuirea semnificativă a dinților vecini; utilizată în special în zona frontală
Avantajele punții dentare
- Restabilește estetica zâmbetului – dinți naturali, armonioși cu fizionomia
- Îmbunătățește masticația și vorbirea – fără spații dentare nefuncționale
- Previne migrarea dinților vecini – menține alinierea corectă a danturii
- Alternativă mai accesibilă la implanturi – rezultat rapid și eficient
- Fixare stabilă – nu se scoate din gură, ca în cazul protezelor mobile
- Realizare rapidă – în 5–7 zile în funcție de complexitate și material
Materiale folosite pentru punți dentare
- Zirconiu – estetică premium, rezistență ridicată, biocompatibilitate 100%
- Ceramică presată – transluciditate naturală, ideală pentru zona frontală
- Metalo-ceramică – rezistentă și accesibilă, potrivită pentru zona laterală
- Puntă provizorie – din materiale acrilice, utilizată temporar în timpul tratamentelor
Etapele realizării unei punți dentare
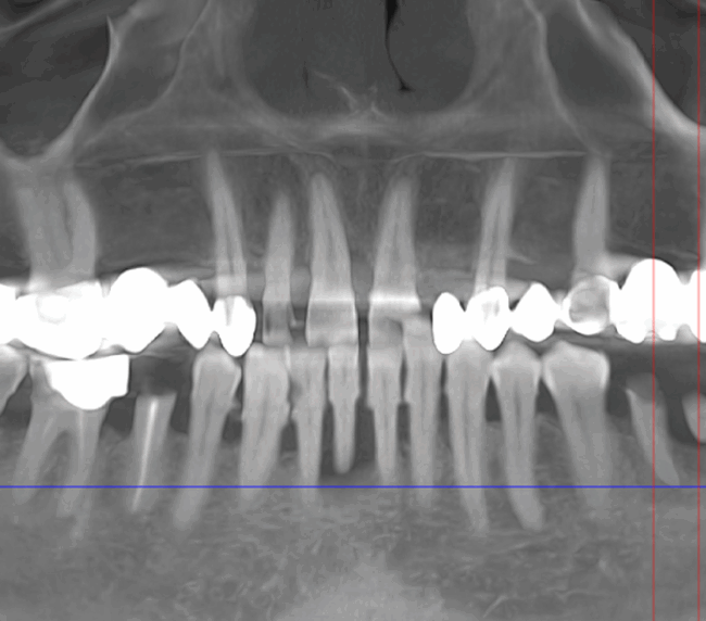
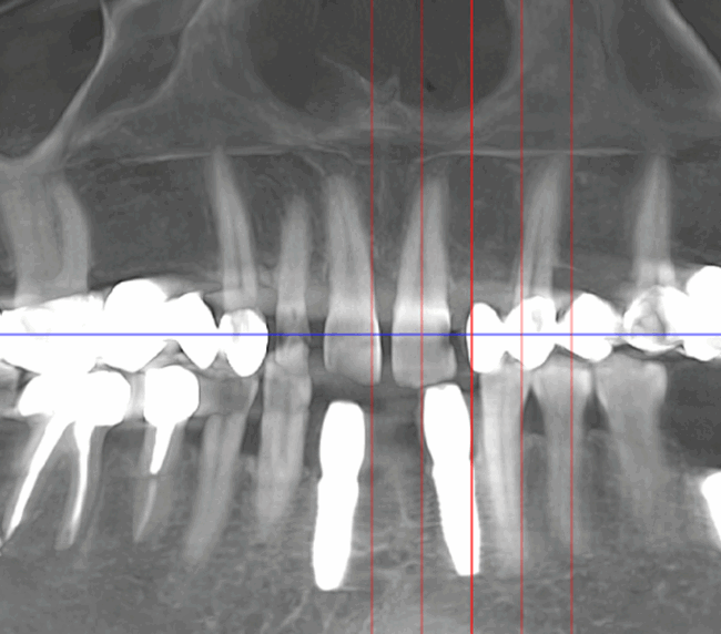
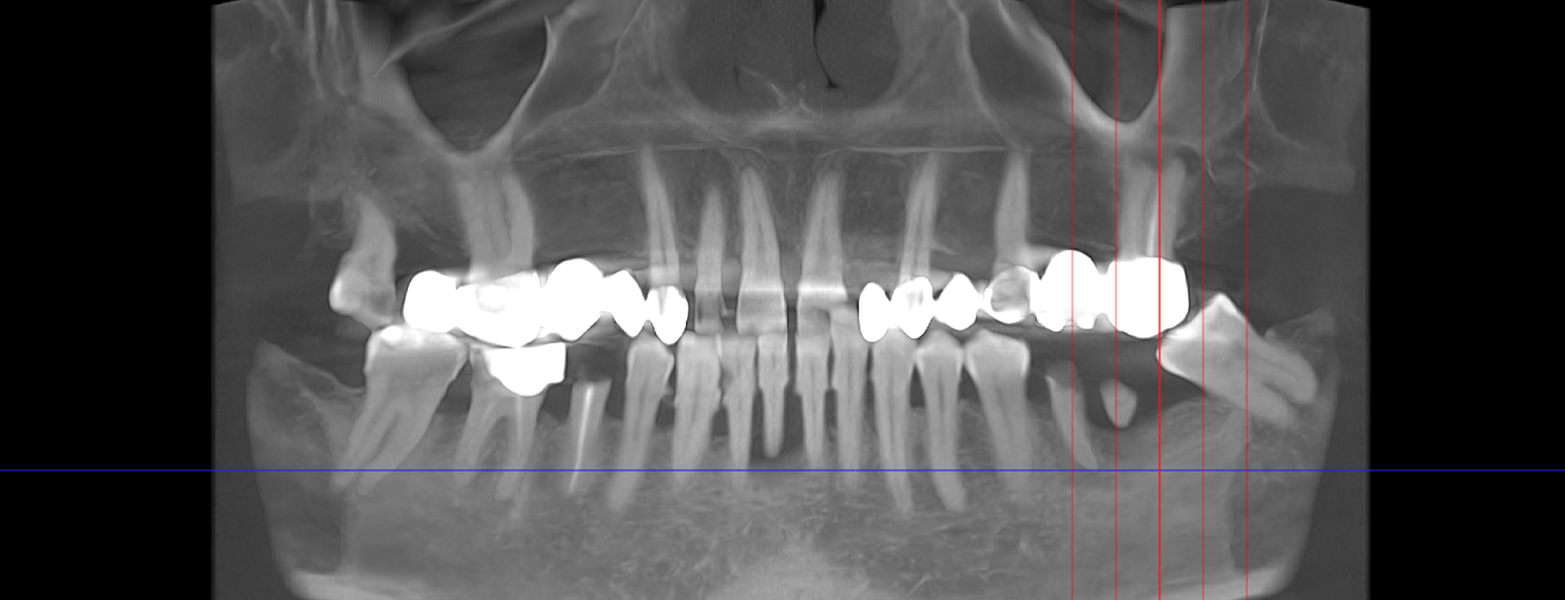
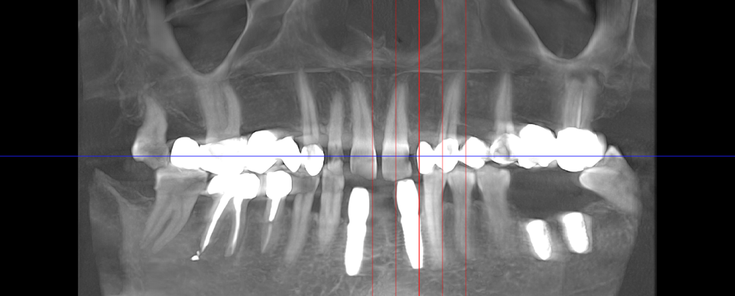
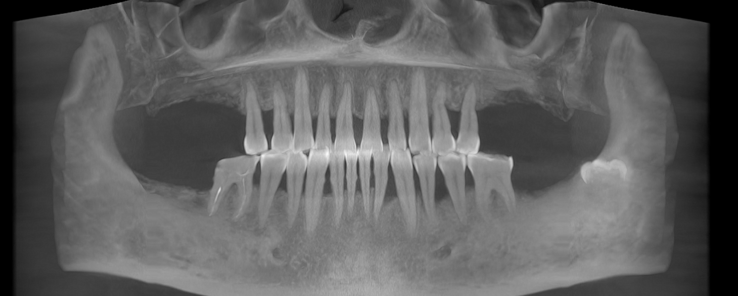
- Consultație, radiografie și plan de tratament personalizat
- Șlefuirea dinților de susținere sau inserarea implanturilor
- Amprentă digitală cu scanner intraoral sau clasică
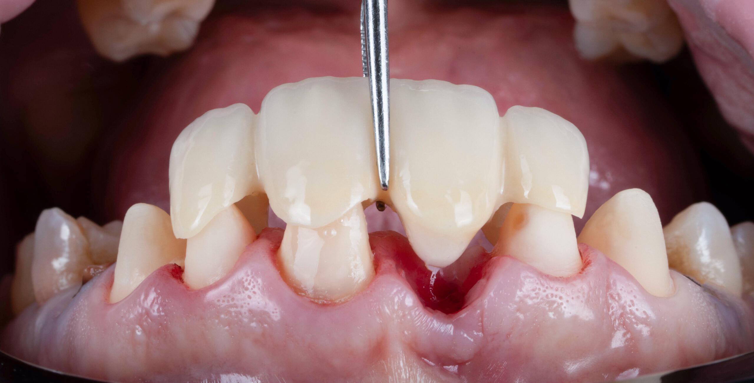
- Proba lucrării și adaptarea funcțională și estetică
- Fixarea definitivă cu ciment special
- Instrucțiuni de igienizare și controale periodice
Când este indicată o punte dentară?
- Ai unul sau mai mulți dinți lipsă într-o zonă în care dinții vecini sunt sănătoși și stabili
- Nu dorești sau nu poți opta pentru implanturi
- Cauți o soluție fixă, rapidă și cu estetică satisfăcătoare
- Ai deja implanturi inserate și ai nevoie de restaurare protetică
De ce să alegi Clinica Dentară Dr. Grossu pentru punți protetice?
- Experiență în lucrări protetice fixe personalizate
- Tehnologie CAD/CAM și scanare digitală 3D
- Materiale moderne, estetice și rezistente
- Planuri de tratament etapizate și transparente
- Rezultate precise, durabile și confortabile
- Locație centrală – Strada Paris 43/1, Chișinău


























