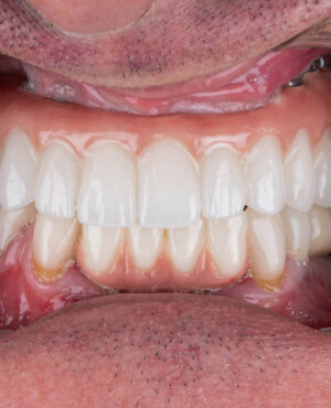
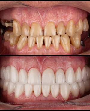
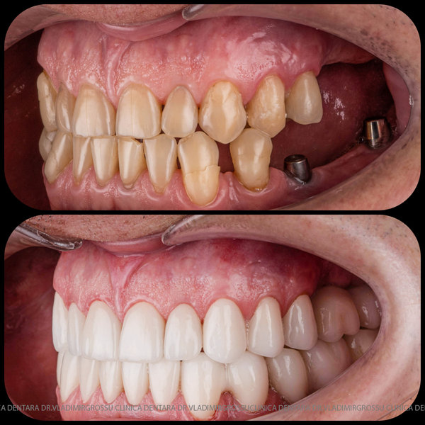
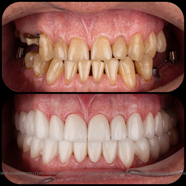
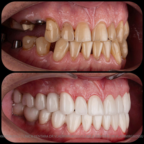
Protezarea pe implanturi dentare este soluția modernă, estetică și funcțională pentru înlocuirea dinților lipsă. Această procedură combină precizia chirurgicală cu tehnologia avansată de laborator pentru a reda pacienților zâmbetul natural, vorbirea clară și capacitatea de a mânca fără restricții.
La Clinica Dentară Dr. Grossu din Chișinău, oferim protezări pe implanturi dentare personalizate, realizate de o echipă multidisciplinară, cu ajutorul celor mai noi tehnologii digitale și materiale biocompatibile.
Ce este protezarea pe implanturi?
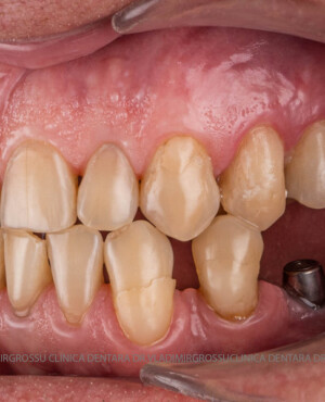
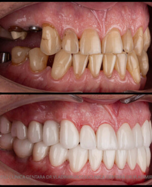
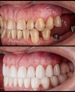
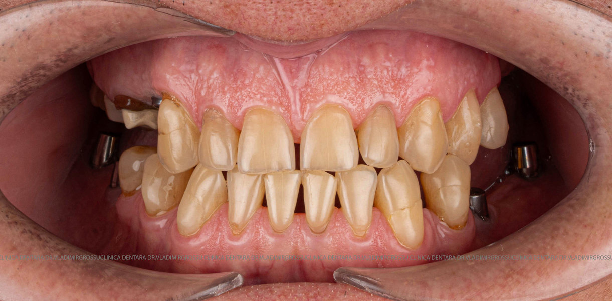
După inserarea unui implant dentar – o rădăcină artificială din titan sau zirconiu –, urmează etapa de protezare, adică atașarea unei structuri protetice (coroană, punte sau proteză) care înlocuiește dintele lipsă.
Există mai multe tipuri de protezare pe implanturi, în funcție de numărul dinților lipsă și de nevoile estetico-funcționale ale pacientului:
- Coroană pe implant – pentru înlocuirea unui singur dinte
- Punte pe implanturi – pentru mai mulți dinți lipsă în aceeași zonă
- Proteze fixe sau mobilizabile pe implanturi – în caz de edentație totală (toți dinții lipsă)
Avantajele protezării pe implanturi
- Stabilitate perfectă – fără riscul de deplasare, ca în cazul protezelor clasice
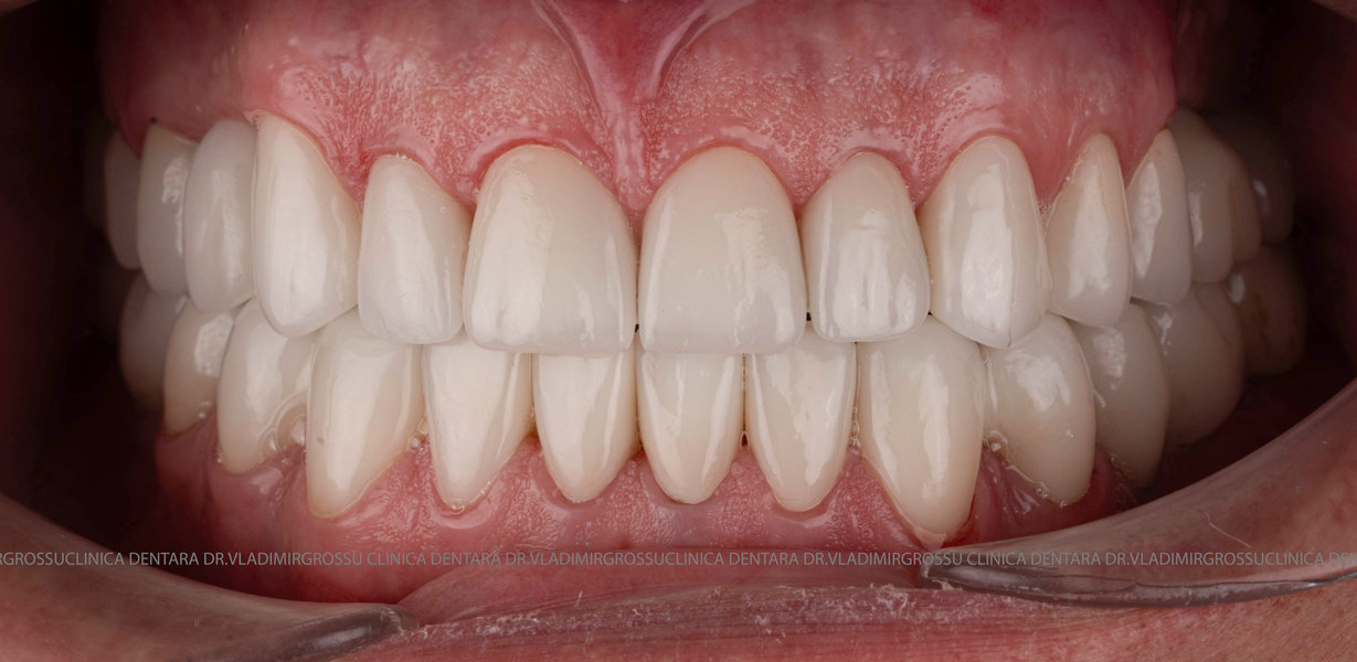
- Estetică superioară – imită perfect dinții naturali
- Funcționalitate completă – mestecare și vorbire fără restricții
- Păstrarea osului și a conturului facial – implantul stimulează osul alveolar
- Fără afectarea dinților vecini – spre deosebire de punțile tradiționale
- Durabilitate îndelungată – cu îngrijire corectă, peste 15–20 de ani
Etapele protezării pe implanturi
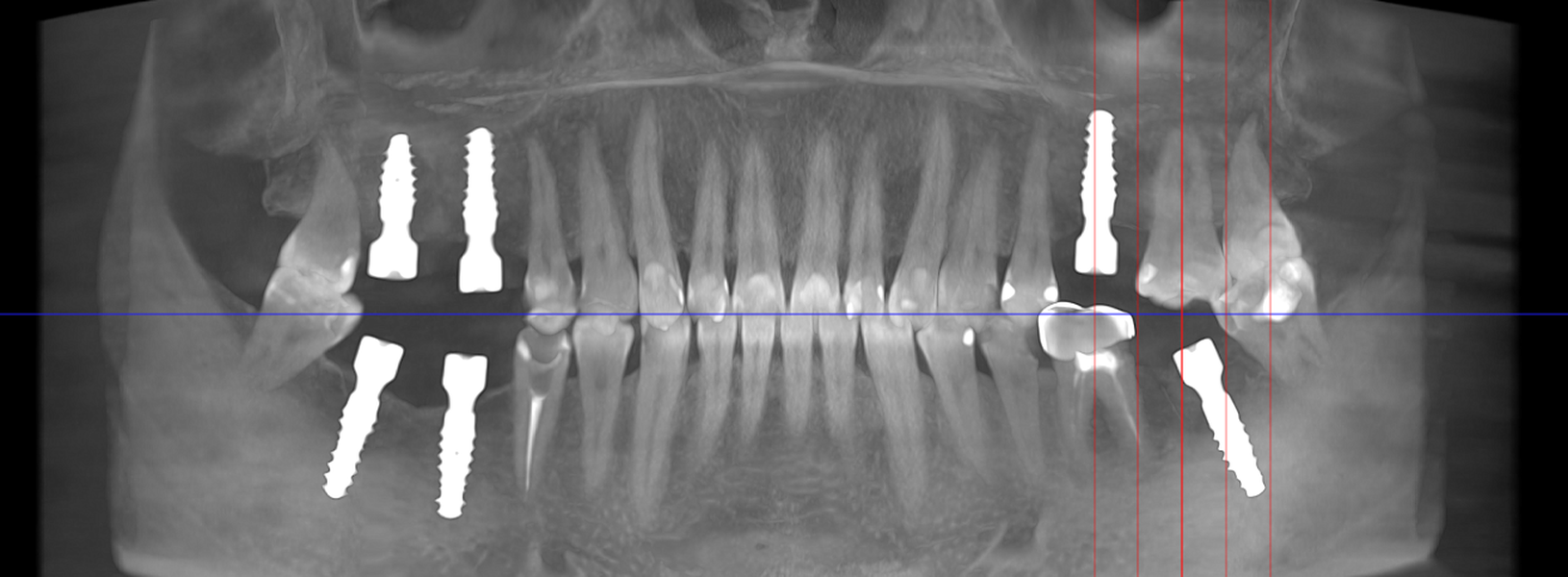
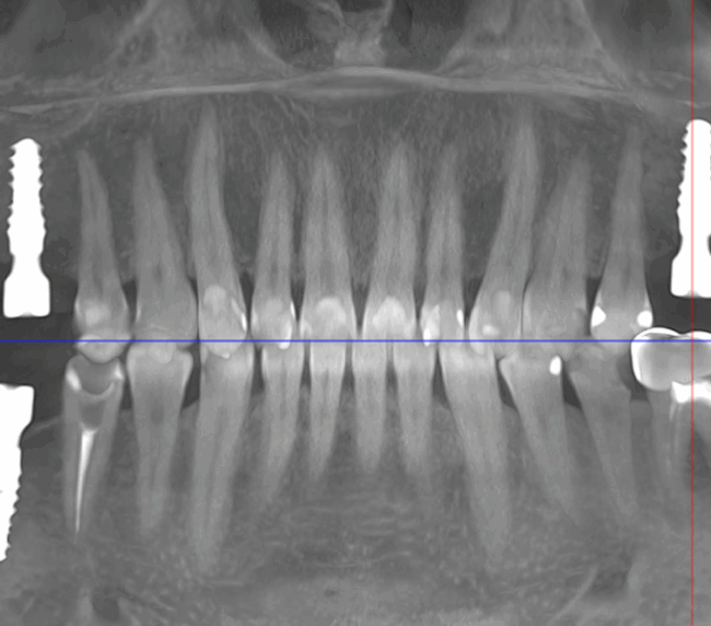
- Consultația inițială și planificarea tratamentului (inclusiv tomografie CBCT)
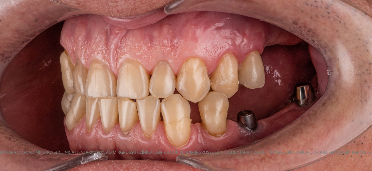
- Inserarea implanturilor dentare (chirurgie ghidată digital)
- Perioada de osteointegrare (3–6 luni)
- Amprentarea digitală sau clasică a zonei
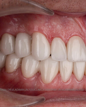
- Realizarea lucrării protetice (coroană, punte sau proteză)
- Fixarea lucrării și verificarea ocluziei
- Instrucțiuni de igienizare și control periodic
Tipuri de lucrări protetice utilizate
- Coroane din zirconiu sau ceramică integrală
- Punte fixă pe 2 sau mai multe implanturi
- Proteze pe sistem de bare sau capse (All-on-4, All-on-6)
- Protezare imediată (lucrare provizorie în aceeași zi cu implantul, în cazuri selectate)
De ce să alegi Clinica Dentară Dr. Grossu pentru protezarea pe implanturi?
- Tehnologie digitală de ultimă generație – scanare 3D, design asistat digital
- Chirurgie implantologică ghidată, minim invazivă
- Laborator dentar partener de top – estetică și precizie maximă
- Materiale premium – zirconiu, ceramică E-max, titan pur
- Planuri de tratament personalizate, rezultate pe termen lung
- Echipă multidisciplinară (chirurg, protetician, tehnician)
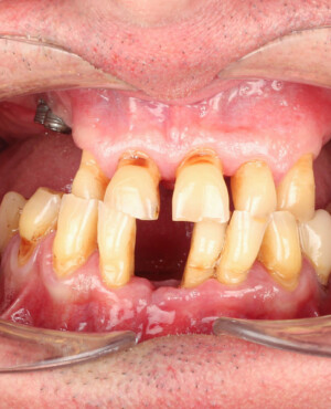
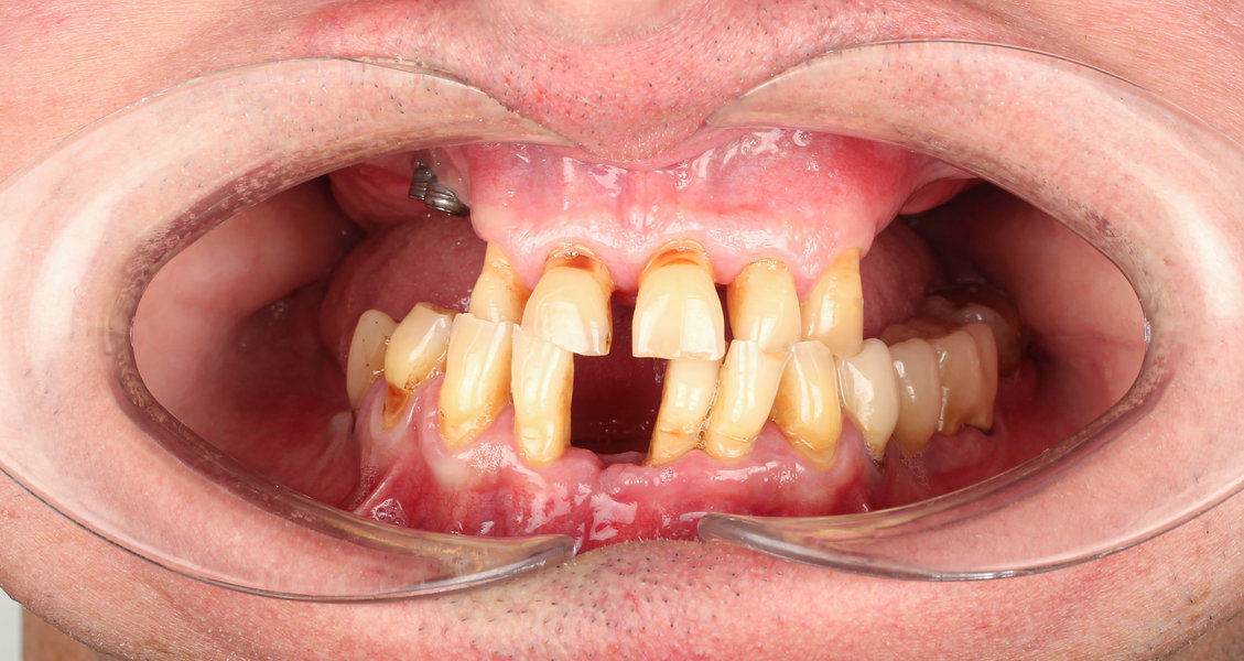
Cine poate beneficia de protezare pe implanturi?
- Persoane cu dinți lipsă parțial sau total
- Pacienți care nu se adaptează la protezele mobile
- Persoane cu pierderi osoase moderate (cu adiție osoasă, dacă este necesar)
- Oricine dorește o soluție fixă, estetică și pe termen lung
Recuperează-ți zâmbetul, siguranța și calitatea vieții.


























































