Skip to content Skip to footer

Клинические случаи в эндодонтии

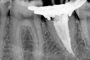
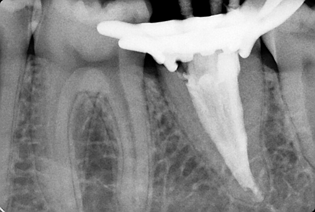
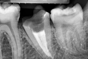
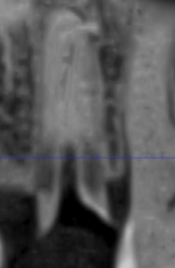
Случай 1

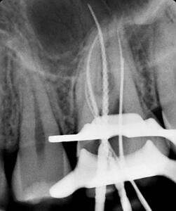
Случай 2

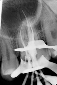
Случай 3

Случай 4

Случай 5

Случай 6

Случай 7

Случай 8

Случай 9

Случай 10

Случай 11

Случай 12

Случай 13

Случай 14

Случай 15

Случай 16

Случай 17

Запрос на консультацию


    Solicitare de consultație